ALZHEIMER: Une nouvelle voie thérapeutique par thérapie génique?
La maladie d'Alzheimer peut être traitée par thérapie génique, suggère étude, menée sur l’animal par une équipe de l’Impérial College de Londres. Ces scientifiques parviennent en effet à empêcher le développement de la maladie d'Alzheimer chez des souris, en utilisant un lentivirus pour délivrer un gène protecteur dans le cerveau. Une première et une nouvelle voie thérapeutique, à découvrir dans les Actes de l’Académie des Sciences américaine (PNAS).
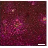
Une thérapie qui « marche » chez la souris : ainsi les cellules de cortex de souris n'ayant pas reçu la thérapie génique présentent des plaques amyloïdes (en vert), entourées par les cellules gliales (Voir visuel du haut).
L'équipe de l'Imperial College utilise ici un virus modifié qui va infecter les cellules pour produire une version modifiée du virus qui délivre des gènes protecteurs à des cellules spécifiques. Ce même lentivirus vecteur avait déjà été utilisé dans des essais cliniques pour délivrer des gènes dans le cerveau de patients atteints de la maladie de Parkinson, précisent les auteurs. Ici, le virus, contenant le gène PGC-1 - alpha, a été injecté dans 2 zones du cerveau, l'hippocampe et le cortex, chez des souris modèles de maladie d'Alzheimer (l'hippocampe et le cortex sont les premières zones à développer des plaques amyloïdes). Les animaux ont été traités à stades précoces de la maladie avant la formation de plaques.
Une preuve de concept, sur la souris : à 4 mois, l'équipe constate que :
· les souris ayant reçu la thérapie génique présentent très peu de plaques amyloïdes (Visuel du bas), par rapport aux souris non traitées,
· ces souris traitées font aussi bien aux tâches de mémoire que les souris en bonne santé,
· elles n'accusent aucune perte de cellules du cerveau dans l'hippocampe.
· Elles présentent une réduction du nombre de cellules gliales, -qui dans la maladie d'Alzheimer peuvent libérer des substances toxiques inflammatoires qui entraînent des dommages cellulaires supplémentaires.
La protéine PGC-1 - alpha, bénéfiques aux premiers stades de la maladie : documentée comme impliquée dans le métabolisme, en particulier des sucres et des graisses, augmentée sous l'effet de l'exercice ou du resvératrol, les chercheurs ont parié sur les bénéfices de la protéine aux stade précoces de la maladie.
Certes ces résultats, très prometteurs doivent encore être traduits en traitements pour l'Homme, mais ils ouvrent une nouvelle voie thérapeutique, celle de la thérapie génique. Il reste un grand défi à surmonter, délivrer le gène au cerveau humain. Mais le besoin est énorme : il n'existe pas aujourd'hui de traitements capables de stopper la progression des lésions dans la maladie d'Alzheimer.
Autres actualités sur le même thème
ÉPILEPSIE : Vers un traitement personnalisé en fonction des gènes de susceptibilité ?
Actualité publiée il y a 7 années 2 moisL'HYPOTENSION ORTHOSTATIQUE, un signe précurseur de démence?
Actualité publiée il y a 9 années 6 moisDÉPRESSION: Le test sanguin qui prédit la réponse aux antidépresseurs
Actualité publiée il y a 9 années 10 moisLa FIBROMYALGIE liée à un risque de mortalité prématurée
Actualité publiée il y a 2 années 9 mois



