Découvrez nos réseaux sociaux
Actualités

ARTHROPLASTIE de la HANCHE et du GENOU : Un taux de réussite élevé, un résultat durable

Actualité publiée il y a 7 années 2 semaines 6 jours
The Lancet
80% des arthroplasties du genou et 60% des arthroplasties de la hanche sont toujours en place après 25 ans.

Cette intervention désormais classique permettant de rétablir la forme et la mobilité d'une articulation abîmée ou bloquée, que ce soit l’articulation de la hanche ou du genou, atteint aujourd’hui un taux de réussite élevé, conclut cet examen et cette méta-analyse de la littérature. L’équipe de l’Université de Bristol, après avoir examiné des milliers d'études de cas remontant à 25 ans dans 6 pays, estime pour la première fois la durée probable de ces arthroplasties : 80% des arthroplasties du genou et 60% des arthroplasties de la hanche sont toujours en place après 25 ans. Des données très rassurantes, présentées dans le Lancet.

 

Rédigé par une équipe britannique, l’article rappelle qu’au seul Royaume-Uni, ce sont plus de 2 millions d'arthroplasties de la hanche et du genou qui ont été pratiquées depuis 2003. Les patients posent toujours la même question : « Combien de temps va durer cette arthroplastie de la hanche ou du genou ? » Si, jusque-là, les cliniciens n’avaient pas vraiment de réponse à apporter, cette analyse permet d’espérer 20 à 25 années.

 

2 des chirurgies les plus courantes : les remplacements de la hanche et du genou sont aujourd’hui 2 des chirurgies les plus courantes et les plus efficaces. Pourtant, ces interventions restent parfois, comme toutes les interventions, sujettes à complications. Les principales causes d’échec sont ainsi l’infection, la fracture, l’usure normale ou la réaction aux particules usées de la prothèse. Dans nombre de ces cas, les patients nécessitent une chirurgie de révision encore plus sujette à l’échec que leur chirurgie primaire. Il est donc essentiel pour les patients et leurs chirurgiens orthopédiques de prendre en compte, dès le bilan de départ, la durée « de vie » de l’arthroplastie de la hanche ou du genou. De plus l’intervention, en fonction de ce critère, devient alors de plus en plus pertinente pour un plus grand nombre de patients en regard de l’augmentation de l'espérance de vie en bonne santé.

 

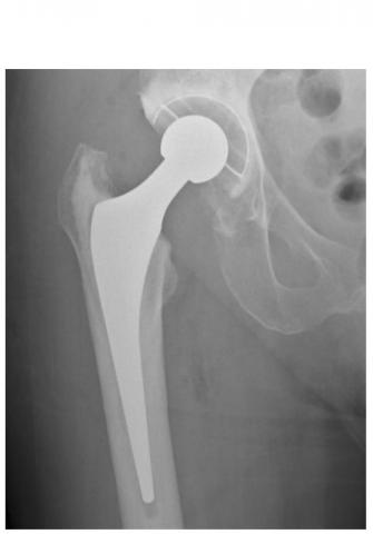
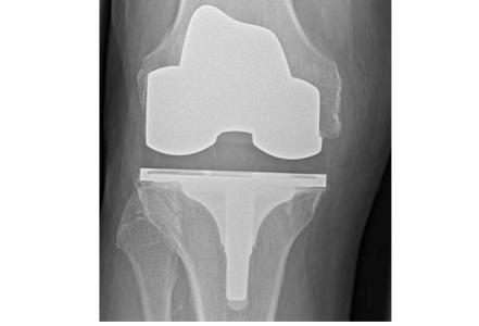
Des variations considérables en fonction des types d’arthroplasties : un remplacement de la hanche comprend principalement 2 composants (col, cavité) mais reste variable dans la manière dont ces pièces sont fixées à l'os, ainsi que dans les matériaux utilisés pour consolider la surface d'appui. Idem pour l’arthroplastie du genou, l’arthroplastie totale va remplacer toute la surface articulaire du patient, tandis qu'une prothèse de genou unicondylienne ne remplace que la partie endommagée du genou. Bref, les variations sont considérables en matière d’arthroplasties de la hanche et du genou, cependant ces facteurs ont bien été pris en compte dans l’analyse.

Au total, 150 études de cas ont été passées en revue et analysées sur les arthroplasties de la hanche et 33 sur les arthroplasties du genou, et 6 registres nationaux de remplacement d'articulation (grandes bases de données de tous les patients ayant subi une arthroplastie en Australie, Danemark, Finlande, Nouvelle-Zélande, Norvège et Suède) ont été analysés.

Arthoplasties de la hanche : L’analyse a porté au total sur les données de 215.676 patients, suivis pendant au moins 15 ans, 74.052 patients suivis pendant au moins 20 ans et 51.359 suivis pendant au moins 25 ans.

  • 89% des arthroplasties de la hanche ont « duré » 15 ans, 70% ont duré 20 ans et 58% ont duré 25 ans.

Arthroplasties du genou : L’analyse a porté au total sur les données de 299.221 patients, suivis pendant au moins 15 ans, 7.714 patients ayant subi une arthroplastie du genou unicondylienne ou partielle suivis pendant au moins 15 ans également, 88.532 et 3.935 (respectivement) sur 20 ans et 76 651 et 3 935 (respectivement) pendant au moins 25 ans.

  • 93% des arthroplasties totales du genou et 77% des arthroplasties du genou unicondyliennes ont duré 15 ans et plus, 90% des arthroplasties totales du genou et 72% des arthroplasties du genou unicondyliennes, 20 ans et plus, 82% et 70% (respectivement) 25 ans et plus.

 

 

Une information essentielle pour prendre une décision éclairée et comprendre les résultats à long terme du remplacement articulaire. « Nous aimerions collaborer avec tous les autres pays disposant de données à long terme sur la « survie » des arthroplasties de la hanche ou du genou afin de mieux cener et suivre les résultats à long terme du remplacement articulaire ».

Autres actualités sur le même thème