CANCER de la PROSTATE : La protéine qui régale la tumeur
La protéine CAVIN1 avait été identifiée pour la première fois pour son rôle clé dans le syndrome de lipodystrophie humaine, un trouble qui empêche l'absorption de lipides et la fabrication des cellules adipeuses, ce qui expose à un risque accru de maladies cardiovasculaires et de diabète. Cette même protéine, CAVIN1 régale de lipides les cellules cancéreuses dans le cancer de la prostate et alimente ainsi la propagation de la tumeur, révèle cette recherche de l’Université Johns Hopkins. Des conclusions présentées dans Molecular Cancer Research qui incitent à chercher à affamer les cellules cancéreuses et à utiliser CAVIN1 comme un marqueur signifiant du cancer de la prostate et du risque de métastase.
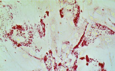
Les cellules cancéreuses (en rouge sur visuel) engloutissent les lipides. La protéine CAVIN1 redistribue les lipides en favorisant le microenvironnement du cancer ce qui déclenche l'inflammation et favorise le développement de la tumeur. La protéine régulatrice des lipides transmet ce que les chercheurs décrivent comme une « superpuissance » aux cellules cancéreuses de la prostate, les induisant à se propager de manière agressive.
Les lipides de l'environnement, un carburant pour le cancer, un facteur de propagation pour la tumeur
L’étude in vitro, réalisée sur les cellules cancéreuses et humaines de la prostate et des lignées cellulaires stromales, montre que lorsque la protéine régulatrice des lipides CAVIN1 est retirée des cellules stromales ou fibroblastes (les cellules du tissu conjonctif dans et autour des tumeurs) les cellules cancéreuses vont chercher ces lipides dans leur environnement, les utilisant comme carburant, en particulier pour fabriquer des hormones qui nourrissent le cancer. Ces lipides alimentent ainsi leur propagation. Et dans toutes les lignées de cellules cancéreuses de la prostate testées, les cellules tumorales montrent cet appétit universel pour les lipides, les utilisant pour alimenter leur croissance, renforcer la membrane protectrice autour de la cellule, synthétiser des protéines et fabriquer de la testostérone pour soutenir la croissance du cancer. L’accès aux lipides de l’environnement apporte aux cellules tumorales plus de puissance : la tumeur est la même tumeur, mais son évolution change.
Des expériences similaires in vivo, sur des modèles murins de cancer de la prostate ont comparé l’évolution des tumeurs avec et sans CAVIN1 dans les cellules stromales. L’absence de CAVIN1 induit, à l’identique, la propagation du cancer. Toutes les souris atteintes de tumeurs qui n'expriment pas CAVIN1 présentent un nombre de métastases multiplié par 5 à 10. Les tumeurs se gonflent de 40 à 100 fois plus de lipides et présentent également des niveaux multipliés de cellules inflammatoires.
La protéine régulatrice des lipides, CAVIN1 joue ainsi un rôle clé dans la distribution des lipides dans le microenvironnement et la progression de la tumeur. CAVIN1 dans les cellules tumorales pourrait donc être utilisée comme un excellent biomarqueur du risque de métastase, soulignent les chercheurs ;
Ces résultats inspirent de nouvelles interventions qui seront néanmoins délicates car toutes les cellules ont besoin de lipides. Donc tout traitement visant à inhiber les lipides devra cibler spécifiquement les cellules cancéreuses.
Autres actualités sur le même thème
CANCER du SEIN : Des ultrasons contre les métastases des ganglions
Actualité publiée il y a 6 années 5 moisLEUCÉMIE : Le gène qui manque aux cellules du sang
Actualité publiée il y a 3 années 11 moisCANCER COLORECTAL : Les omega-3 pas toujours efficaces
Actualité publiée il y a 4 mois 3 semainesCANCER : Une plaie chronique à jamais
Actualité publiée il y a 6 années 9 mois



