CANCER: Une armée de nanorobots pour cibler les cellules cancéreuses
Epargner les tissus sains et ne cibler que les cellules cancéreuses, intervenir au niveau unicellulaire, c’est l’objectif de toutes les équipes de recherche qui travaillent au développement de nouvelles thérapies contre le cancer. Ici, c’est une nouvelle méthode dynamique pour cibler spécifiquement les tumeurs, qui nous est présentée par l’école Polytechnique de Montréal dans la revue Nature Nanotechnlogy. Dynamique car il s’agit d’agents nanorobotiques auto-propulsés, chargés de médicaments et capables d’emprunter le chemin le plus direct entre le point d'injection du médicament et la zone du corps à traiter. Les chercheurs de Polytechnique Montréal, de l'Université de Montréal et de l'Université McGill ont mis au point ces nouveaux agents nanorobotiques capables de naviguer à travers le système sanguin pour administrer avec précision un médicament en visant spécifiquement les cellules actives des tumeurs cancéreuses. Le ciblage optimal de la tumeur est ainsi garanti, ce qui évite de compromettre l'intégrité des organes et des tissus sains environnants. Grâce à cette nouvelle approche ciblée, la dose de médicament peut ainsi être largement réduite.
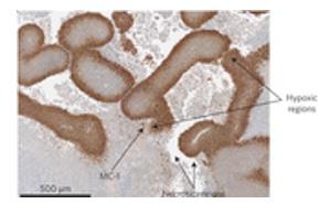
Une armée d'agents nanorobotiques constituée de plus de 100 millions de bactéries flagellées : ces agents sont ainsi autopropulsés, expliquent les chercheurs dans leur communiqué. Chargés de médicaments et conçus pour cibler les zones d'hypoxie ou de développement des tumeurs. Lorsqu'ils parviennent à l'intérieur d'une tumeur, les agents nanorobotiques peuvent, de manière entièrement autonome, détecter les zones tumorales appauvries en oxygène (dites « hypoxiques » (en brun foncé sur la vignette), et y livrer le médicament. Cette hypoxie est causée par l'importante consommation d'oxygène engendrée par la prolifération rapide des cellules tumorales. Les zones hypoxiques sont reconnues comme étant résistantes à la plupart des traitements, incluant la radiothérapie.
2 GPS naturels pour s'orienter vers la tumeur : accéder aux tumeurs en empruntant des voies aussi petites qu'un globule rouge et en traversant des microenvironnements physiologiques complexes comporte toutefois plusieurs défis. Pour se déplacer, les bactéries utilisées par l'équipe exploitent 2 systèmes naturels. « Un genre de boussole », créée par la synthèse d'une chaîne de nanoparticules magnétiques, leur permet de se déplacer dans le sens d'un champ magnétique ainsi qu'un capteur de concentration d'oxygène qui leur permet d'atteindre et de demeurer dans les zones actives de la tumeur.
C'est donc une nouvelle génération de vecteurs de médicaments qui s'ouvre avec ce développement.
Autres actualités sur le même thème
ONCOLOGIE : "L’infirmière pivot" pour la continuité des soins
Actualité publiée il y a 8 années 3 joursCANNABIS MÉDICAL : Efficacité confirmée contre la douleur en oncologie
Actualité publiée il y a 3 années 9 moisPARODONTITE : Associée à un risque plus élevé de plusieurs types de cancer
Actualité publiée il y a 7 années 11 moisCANCER : Le capteur hybride qui le diagnostique
Actualité publiée il y a 3 années 4 mois



