CICATRISATION : Un kit de fibroblastes prêt à intervenir sous la peau !
Chez les mammifères, les cicatrices se forment pour « refermer » rapidement les plaies selon un mécanisme encore mal compris. On sait que les cellules fibroblastes remontent vers la plaie pour venir la combler mais on ignore d’où viennent exactement ces fibroblastes. Ces chercheurs du Helmholtz Zentrum München révèlent, dans la revue Nature, que les cicatrices cutanées sont issues d'une matrice préfabriquée dans l'aponévrose sous-cutanée : un véritable « kit préfabriqué et spécialisé » composé principalement de fibroblastes sentinelles et prêt à "remonter" en cas de plaie.
La cicatrisation anormale est une menace sérieuse, responsable du retard de cicatrisation, de la chronicité des plaies et de la fibrose. On savait déjà que toutes les cicatrices proviennent d'une lignée de fibroblastes exprimant un gène spécifique, "Engrailed-1", et que cette lignée cellulaire est présente non seulement dans la peau, mais aussi dans le fascia, une membrane conjonctive très riche en fibres de collagène (située sous le derme et qui enveloppe généralement une structure anatomique). Cette équipe de biologistes dirigée par le Dr Yuval Rinkevich, à la recherche de moyens pour optimiser le processus de cicatrisation, a donc regardé si le fascia pouvait être à l'origine de ces fibroblastes réparateurs.
Un kit préfabriqué prêt à intervenir en cas de plaie
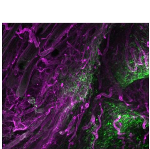
Les fibroblastes remontent du fascia vers la plaie : via des techniques d’imagerie de pointe, l’équipe montre que les cicatrices se forment lorsque les fibroblastes du fascia, un type de cellules du tissu conjonctif, remontent à la surface de la peau entraînant avec elles la matrice extracellulaire dont les vaisseaux sanguins intégrés, les macrophages et les nerfs périphériques, pour former la matrice provisoire. En utilisant l’ablation génétique, une méthode qui permet d’inactiver fibroblastes du fascia, les chercheurs montrent que dans ce cas, aucune matrice extracellulaire ne vient combler la plaie et qu’une cicatrice anormale et pathologique se forme alors. La pose d'un film imperméable sous la peau qui empêche physiquement les fibroblastes du fascia de migrer vers le haut, induit une plaie ouverte chronique. Les fascias fonctionnent donc comme un dépôt de tissu cicatriciel mobile : les cellules fascia (en vert sur visuel) émergent dans des plaies cutanées ouvertes avec leur matrice environnante (en rouge).
Ainsi, le fascia contient un kit préfabriqué spécialisé de fibroblastes sentinelles, incorporé dans un gel ou « scellant » mobile, qui comprend d’ailleurs différents types de cellules et composants de la matrice nécessaires à la cicatrisation des plaies. Ce « kit » est donc prêt à intervenir en cas de plaie cutanée. Ainsi, la chronicité d’une plaie ou la formation d’une cicatrice pathologique peuvent aussi s’expliquer par l’absence ou l’insuffisance de mobilité de la matrice de fascia.
La cicatrisation, un processus de survie : les chercheurs rappellent que la cicatrisation est un processus essentiel de survie : ainsi, la fermeture de la plaie, par la cicatrice prévient l’infection et le saignement. Jusqu'à présent, l’hypothèse de cicatrisation de la plaie était basée sur la formation d’une cicatrice de novo par les fibroblastes, déposant une matrice extracellulaire sur le site de la lésion. Ici, les chercheurs suggèrent que la cicatrice se forme à partir d’un réservoir de gelée matricielle entraîné vers la plaie, par des fibroblastes sentinelle du fascia.
L’étude ouvre un nouveau paradigme sur la cicatrisation des plaies : « nos résultats confèrent aux tissus du fascia un rôle clé pour la science future : il s’agit toujours de se concentrer sur les fibroblastes du derme mais aussi sur ces cellules natives du fascia pour développer de nouveaux traitements de cicatrisation des plaies ».
Autres actualités sur le même thème
ANTIBIORÉSISTANCE : La surveillance génomique pour lutter contre les superbactéries
Actualité publiée il y a 6 années 7 moisPLAIES CHRONIQUES : Une nouvelle association thérapeutique relance la cicatrisation
Actualité publiée il y a 7 années 5 moisBRÛLURES : Le gel de curcumine réduit la douleur, l'inflammation, la cicatrice
Actualité publiée il y a 9 années 1 moisPLAIE DIABÉTIQUE: Comment les NETs sabotent la cicatrisation
Actualité publiée il y a 9 années 1 mois



