COVID-19 : Quand le virus nous prend la tête aussi
Alors que les données restent rares sur les complications neurologiques et cérébrales associées à COVID-19, cette étude de l'Université de Cincinnati (UC) apporte, par neuroimagerie, des indices et des preuve de l’impact du coronavirus dans le cerveau. Des preuves indiscutables, documentées dans la revue Radiology, associées à des symptômes très variables dont une altération de l’état mental et le développement d’accidents cérébrovasculaires.
Même si 1 patient sur 3 hospitalisé pourra développer de tels symptômes, il existe peu de preuves des complications neurologiques associées à COVID-19. Une étude a ainsi identifié de tels symptômes chez plus de 36 % de ses participants et chez plus de 45 % des patients atteints d’une forme sévère. Des manifestations qui comprennent pour les plus importantes, des événements cérébrovasculaires aigus, des troubles de la conscience, et des lésions du muscle squelettique.
Etat mental altéré, AVC, encéphalopathies et syndrome de Guillain-Barré
L’auteur principal, le Dr Abdelkader Mahammedi, neuroradiologue et professeur de radiologie a mené cette étude en collaboration avec 5 instituts de recherche italiens. Il s’agit de l’analyse par neuroimagerie du cerveau de patients atteints de COVID-19 présentant des symptômes neurologiques. Cette analyse contribue à éclairer l'impact du virus sur le système nerveux central.
Ensuite, l’étude a caractérisé les symptômes neurologiques par neuroimagerie chez 725 patients COVID-19 hospitalisés entre le 29 février et le 4 avril. Parmi ceux-ci, 15% présentaient de graves symptômes neurologiques et ont subi une imagerie cérébrale ou vertébrale. La plupart des patients ont passé une tomodensitométrie (CT-scan) cérébrale, 16% une tomodensitométrie cervico-faciale et 18% une IRM cérébrale.
Les symptômes neurologiques les plus fréquemment rapportés restent un état mental altéré et des accidents vasculaires cérébraux. Selon les chercheurs, ces deux symptômes majeurs devraient également être considérés comme des « signaux d'alarme » de l’infection à SARS-CoV-2. Ces examens révèlent en effet que :
- 59% des patients ont signalé un état mental altéré
- 31% ont subi un AVC
- 12% des maux de tête,
- 9% des convulsions,
- 4% des étourdissements.
Sur les 108 patients ayant présenté de graves symptômes neurologiques,
- 29% n'avaient pas d'antécédents médicaux connus. Pourtant, 10 d’entre eux ont subi un AVC et 2 une hémorragie intracrânienne ;
- 71% avaient au moins l'un des troubles chroniques suivants : maladie coronarienne (23%), maladie cérébrovasculaire (14%), hypertension (51%) et diabète (28%) ;
- 66% de ces patients ne présentaient aucune anomalie au scanner cérébral
- 35% présentaient des anomalies « aiguës » à l’IRM cérébrale.
Il existe une association statistiquement significative entre l'état mental altéré et l'âge du patient.
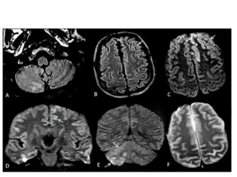
Des caractéristiques de neuroimagerie variables sont décrites chez ces patients, sans modèle spécifique mais dominées par des infarctus ischémiques aigus et des hémorragies intracrâniennes. L'étude montre que ces complications neurologiques peuvent inclure plusieurs types d’encéphalopathie dont le syndrome d'encéphalopathie réversible postérieure (avec anomalies radiologiques cérébrales bilatérales réversibles- voir visuel ci-contre), l'encéphalopathie hypoxique ischémique ou encore une exacerbation de la maladie démyélinisante. Les résultats soutiennent également une association, chez certains patients, entre COVID-19 et le syndrome de Guillain-Barré.
Ces travaux d’imagerie contribuent à une meilleure compréhension des symptômes neurologiques et à l'évaluation de leur incidence chez les patients atteints de COVID-19- ainsi qu’à l'identifiaction de facteurs de risque neurologiques de la forme sévère de la maladie. Enfin et surtout, ces données d’imagerie confirment l’incidence de complications neurologiques et cérébrales associées à COVID-19.
Autres actualités sur le même thème
ALZHEIMER : Découverte de nouveaux liens avec des marqueurs du diabète
Actualité publiée il y a 5 années 7 moisDÉPRESSION: Manipuler des protéines clés pour améliorer l'humeur
Actualité publiée il y a 9 années 9 moisOMEGA 3 vs AGRESSIVITÉ : Le double effet ricochet enfants - parents
Actualité publiée il y a 7 années 7 moisSTRESS : 20 minutes en pleine nature pour l'évacuer
Actualité publiée il y a 6 années 10 mois



