Découvrez nos réseaux sociaux
Actualités

COVID-19 : Un vaccin nasal prévient l'infection chez l'animal

Actualité publiée il y a 5 années 7 mois 3 semaines
Cell
Ce candidat vaccin anti-COVID-19 délivré par le nez protège les souris du virus (Visuel Adobe Stock 336028368)

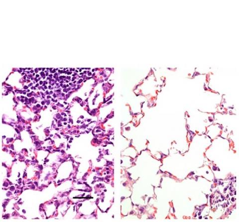
Les chercheurs de l'Université de Washington à Saint-Louis ont mis au point un vaccin anti-COVID-19 délivré par le nez et qui protège les souris du virus. L'administration nasale (tissu pulmonaire de droite sur visuel) produit une réponse immunitaire plus étendue que l'injection intramusculaire (tissu pulmonaire de gauche). Prochaine étape, tester le candidat sur des primates non humains puis chez l’Homme, pour valider sa sécurité et son efficacité.

 

Contrairement aux autres candidats vaccins, ce vaccin en développement, documenté dans la revue Cell est administré par le nez, un site plus « pratique » mais surtout le site initial de l'infection. Dans la nouvelle étude, les chercheurs ont découvert que la voie d'administration nasale créait une forte réponse immunitaire dans tout le corps, mais qu'elle était particulièrement efficace dans le nez et les voies respiratoires, empêchant l'infection de s'installer dans le corps.

Tissu pulmonaire : vaccination par injection intra-musculaire à gauche et par voie nasale à droite (Visuel Hassan et al.)

Une forte réponse immunitaire dans les cellules de la muqueuse du nez et des voies respiratoires supérieures

Les scientifiques confirment une protection très significative contre l'infection. L'auteur principal, le Dr Michael S. Diamond, Pr de médecine et de microbiologie moléculaire, de pathologie et d'immunologie commente ces résultats : « ces souris se sont avérées bien protégées contre la maladie. Chez certaines souris, nous avons observé des preuves d'immunité stérilisante soit l’absence de signe d'infection après exposition de la souris au virus ».

 

Quel principe pour ce nouveau vaccin ? On sait que 4 approches principales sont poursuivies pour le développement du vaccin anti-COVID-19 : à partir du virus lui-même, à partir de vecteurs viraux, de protéines du virus ou encore directement à partir de l’acide nucléique qui va produire, une fois dans les cellules hôtes, des copies de la protéine virale. Ici, les chercheurs ont inséré la protéine de pointe du virus (S), que le coronavirus utilise pour envahir les cellules, à l'intérieur d'un autre virus - appelé adénovirus - qui provoque le rhume. Les scientifiques ont modifié cet adénovirus de manière à le rendre incapable de provoquer une maladie. L'adénovirus inoffensif transporte la protéine de pointe dans le nez, ce qui permet au corps de développer sa défense immunitaire contre SRAS-CoV-2 mais développer de maladie.

Les chercheurs précisent que contrairement au vaccin contre la grippe appelé FluMist administré par le nez, qui utilise une forme affaiblie du virus de la grippe vivant et ne peut pas être administré à certains groupes de personnes dont le système immunitaire est compromis par des maladies telles que le cancer, le VIH et Diabète, le nouveau vaccin intranasal anti-COVID-19, qui n'utilise donc pas de virus vivant capable de se répliquer, serait plus sûr et pourrait donc être administré plus largement.

 

2 innovations pour ce candidat :

  1. l'administration nasale, qui cible donc le point d’entrée de l’infection. Les chercheurs notent que si l’utilisation d’un adénovirus est fréquente dans les vaccins, contre de nombreuses maladies infectieuses, telles que le virus Ebola et la tuberculose, et actuellement pour de nombreux vaccins expérimentaux contre le COVID-19. Cependant, il existe peu de recherche sur l'administration nasale de vaccins à adénovirus.
  2. l’incorporation de 2 mutations dans la protéine de pointe qui la stabilisent dans une forme spécifique très propice à la formation d'anticorps.

 

Un schéma à dose unique : ici, toujours chez l’animal, le principe d’une dose suffit. Sous réserve de confirmation, c’est un point très positif car les vaccins qui nécessitent 2 doses pour une protection complète sont en pratique moins efficaces parce que certaines personnes, pour diverses raisons, ne reçoivent jamais la deuxième dose.

Les chercheurs qui ont comparé les 2 modes d’administration (injection intra-musculaire et administration nasale) chez la souris, constatent que la voie d'administration nasale a empêché l'infection dans les voies respiratoires supérieures et inférieures - le nez et les poumons - suggérant que les personnes vaccinées ne propageraient pas le virus et ne développeraient pas d'infection.

 

Les essais vont suivre chez les primates avant de passer aux essais cliniques humains « aussi rapidement que possible : nous sommes optimistes, mais le développement du vaccin doit encore passer par les pipelines d’évaluation appropriés ».