Découvrez nos réseaux sociaux
Actualités

DÉMENCE : L’autophagie ouvre la voie à de nouveaux traitements

Actualité publiée il y a 6 années 6 mois 3 semaines
Nature Communications
Mieux comprendre les mécanismes de l’autophagie et son évolution, en particulier dans le cadre d’un processus appelé séparation de phase liquide-liquide

Le principe retenu par cette équipe de l’Université de Plymouth est de protéger le processus d’autophagie des cellules, un processus de « nettoyage » qui contribue à éliminer les bactéries et les virus après une infection, et peut neutraliser la progression des maladies neurodégénératives telles que la démence et la maladie de Huntington en éliminant les protéines indésirables et leurs effets nocifs sur les cellules. En décryptant plus avant ce processus, dans la revue Nature Communications, cette étude observationnelle évaluée par les pairs, identifie de premières cibles de dysfonctionnement qui vont être utiles dans la lutte contre les maladies neurodégénératives

Les cellules subissent régulièrement un processus appelé autophagie qui permet d’éliminer les cellules malsaines ou sénescentes. Mais lorsque l'autophagie dysfonctionne ou que le processus échoue, cela peut entrainer le développement de maladies. Cette recherche permet de mieux comprendre les mécanismes de l’autophagie, en particulier dans le cadre d’un processus appelé séparation de phase liquide-liquide (LLPS : liquid-liquid phase separation).

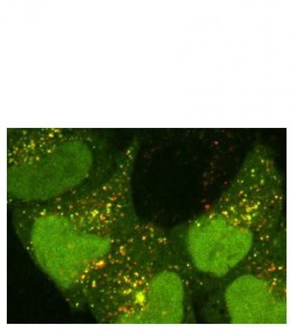
Processus d'autophagie dans les cellules. Points verts et jaunes: autophagosomes; points rouges: autophagosomes fusionnés avec des lysosomes

Protéger le mécanisme d’autophagie pour prévenir la dégénérescence

Une protéine nommée p62 : la clairance des déchets cellulaires par autophagie est contrôlée par 2 éléments impliquant une protéine appelée p62 :

  • D’une part, un processus chimique qui permet à p62 de lier un certain nombre de molécules identiques (appelée oligomérisation),
  • d’autre part, la séparation par p62 de molécules dans le fluide cellulaire. Ce processus est appelé séparation de phase liquide-liquide (LLPS).

Comprendre comment p62 est régulée dans les cellules est donc primordial.

 

Une autre protéine appelée DAXX facilite ces processus. L’étude est ainsi la première à mettre en lumière cette interaction protéique particulière et son rôle clé dans l'autophagie et la protection des cellules.

En comprenant mieux le processus d'autophagie les chercheurs ont donc identifié un nouveau « point de ciblage » pour lutter contre les maladies neurodégénératives. La prochaine étape sera la réplication de ces résultats sur des cellules humaines afin de mieux préciser en quoi l'interaction des protéines est bien pertinente pour les maladies neurodégénératives chez les humains.

 

Des maladies pour lesquelles, à l'heure actuelle, il n'existe aucun traitement curatif.

Autres actualités sur le même thème