Découvrez nos réseaux sociaux
Actualités

DIABÈTE : Un candidat contre ses complications et ses plaies

Actualité publiée il y a 3 années 7 mois 4 semaines
Science Translational Medicine
Des données prometteuses sur une nouvelle classe de composés à bloquer l’action néfaste d’une protéine, RAGE à l’origine de signaux inflammatoires qui blessent le cœur et les reins dans le diabète et qui ralentissent la cicatrisation des plaies diabétiques (Visuel Adobe Stock 165767373).

Ce composé, développé par une équipe de la NYU Langone Health ne permet pas de faire baisser les niveaux de sucre dans le sang, mais, en revanche, promet de réduire plusieurs conséquences du diabète de type 1 et 2, dont la mort cellulaire, l’inflammation et certains dommages aux organes. Cette étude préclinique, publiée dans la revue Science Translational Medicine, documente ainsi les promesses d’une nouvelle classe de composés à bloquer l’action néfaste d’une protéine, RAGE, à l’origine de signaux inflammatoires qui blessent le cœur et les reins dans le diabète, et qui ralentissent la cicatrisation des plaies diabétiques.

 

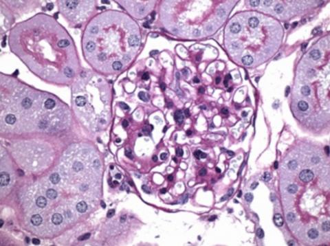
Ce composé, administré à des souris diabétiques a réduit les dommages aux glomérules rénaux (structure plus importante sur visuel ci-dessous) et aux structures environnantes dans le rein, en particulier le tissu cicatriciel (en violet sur visuel).

 

La recherche s’est concentrée sur le système immunitaire du corps, qui reconnaît et détruit les bactéries et virus envahissants. L'activation de ce système provoque une inflammation, et des réponses qui résultent du ralliement des cellules immunitaires aux sites d'infection ou de la lésion. De nombreuses maladies – y compris le diabète – incluent une inflammation mal contrôlée qui peut endommager les organes et les tissus.

Ce composé, administré à des souris diabétiques a réduit les dommages aux glomérules rénaux (structure plus importante sur visuel ci-dessous) et aux structures environnantes dans le rein, en particulier le tissu cicatriciel (en violet sur visuel)(Visuel A. Schmidt et al., Sci. Trad. Méd. 13, eabf7084 -2021).

L'interaction délétère pro-inflammatoire de 2 protéines, DIAPH1: RAGE

La plupart des équipes qui travaillent autour du diabète expliquent que le régime alimentaire et l'âge (type 2) ou les différences génétiques (type 1) sont en cause dans la réduction de la production ou de l’action de l'hormone insuline, qui permet le contrôle de la glycémie après les repas et fournit de l'énergie au corps.

Alors que l'hyperglycémie provoque des dommages inflammatoires, de précédentes études ont établi que des mécanismes communs aux 2 types de diabète pourraient être ciblés par de nouveaux candidats-médicaments.

 

En particulier, une glycémie élevée génère un plus grand nombre de particules toxiques pour les composants cellulaires comme l'ADN. Cela tue les cellules, qui se désagrègent et renversent leur contenu, l'organisme est alors informé par des cellules spécialisées qu'un tissu est soumis à un stress, dans certains cas en activant la protéine RAGE. Or, la protéine RAGE interagit avec une protéine appelée DIAPH1 pour transmettre ces messages de détresse, qui activent finalement les gènes inflammatoires.

 

L'étude : l'équipe a donc passé au crible une bibliothèque de 59.000 composés pour finalement développer un composé capable d’interférer avec l'interaction DIAPH1: RAGE. Elle aboutit ainsi à ce composé, RAGE229, qui permet :

 

  • de réduire les niveaux d’inflammation chez la souris modèle de diabète (score d'inflammation de 2,5 (sur une échelle de 1 à 5) vs 3,3) ;
  • de réduire le volume d’infarctus, chez la souris modèle de diabète de type 1 et d'un blocage temporaire d'une artère coronaire ;
  • d’améliorer la cicatrisation des plaies diabétiques (90% à 21 jours, chez les souris diabétiques de type 2 mâles traitées avec RAGE229 vs 65%) ;
  • des expériences in vitro, sur des cellules humaines confirment l’efficacité du composé, RAGE229, à réduire considérablement ces complications à court et à long terme du diabète.

 

« RAGE229 apparaît comme la base d'une nouvelle approche qui cible les actions intracellulaires de RAGE pour contrer les lésions tissulaires diabétiques »,

explique l'auteur principal, le Dr Ann Marie Schmidt, Professeur d'endocrinologie à la NYU Grossman School de Médecine. « Avec des améliorations supplémentaires, RAGE229 et les composés développés sur le même principe, présentent un grand potentiel pour combler les lacunes dans le traitement du diabète de type 2 ».

 

« Le composé RAGE229 utilisé dans notre étude préclinique ne sera pas la version testée par des essais cliniques chez l’Homme . Nous poursuivons nos améliorations chimiques du RAGE229. Ces nouvelles molécules promettent de produire un candidat médicament final avec une puissance optimale dans un avenir proche ».

ABONNEMENT PREMIUM

Accédez sans limite à plus de 15 000 actualités