FIBROMYALGIE: On a trouvé sa signature neurophysiologique !
Une « vraie » signature pour cette maladie encore mal connue et reconnue il y a seulement quelques années ? C’est l’annonce de ces chercheurs de Université du Colorado à Boulder. Ils identifient en effet, à l’IRMf une signature neurale de la fibromyalgie qui va faciliter le diagnostic et le traitement. Cette signature, documentée dans la revue Pain, est capable de diagnostiquer la maladie avec une précision de 93%.
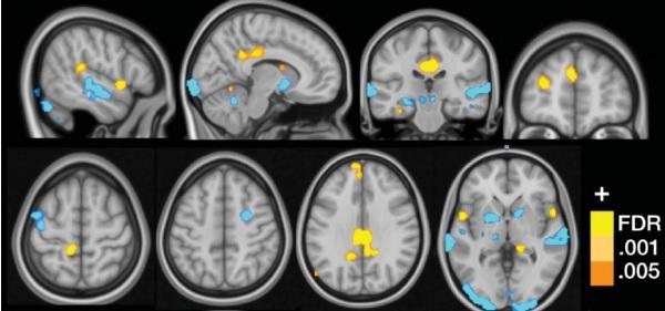
La fibromyalgie est généralement définie comme une douleur musculo-squelettique chronique généralisée accompagnée de symptômes tels que la fatigue, l'anxiété et des troubles de l'humeur. Historiquement, la maladie a été difficile à diagnostiquer -donc à reconnaître-, et à traiter, en raison de symptômes communs avec d'autres maladies chroniques courantes. Mais alors que progressent la reconnaissance et la sensibilisation à la fibromyalgie, une maladie qui touche de 2 à 6% de la population, de nombreuses équipes commencent à travailler à des tests de diagnostic, génétiques, ophtalmiques ou par imagerie. Il s'agit d'aider les cliniciens à mieux diagnostiquer et traiter la fibromyalgie, de manière plus personnalisée. Ici, les chercheurs de l'Université du Colorado identifient une signature du cerveau qui caractérise, avec une précision de 93%, les patients souffrant de fibromyalgie. Il s'agit d'une image IRM qui prédit la fibromyalgie sur la base de l'activation du cerveau pendant une stimulation multisensorielle (Voir visuel ci-contre). Les chercheurs ont utilisé précisément l'IRM fonctionnelle (IRMf) pour étudier l'activité cérébrale de 37 patients atteints de fibromyalgie vs 35 patients témoins en bonne santé, tout en exposant ces participants à toute une variété de signaux visuels, auditifs et tactiles (non-douloureux et douloureux). On sait que l'hypersensibilité sensorielle est caractéristique de la maladie. Ces expériences « multisensorielles » ont permis aux chercheurs d'identifier une série de 3 marqueurs ou « motifs neurologiques » en corrélation avec l'hypersensibilité à la douleur qui caractérise donc la fibromyalgie. Une signature en forme de « motifs neurologiques » : ces travaux apportent ainsi un nouvel outil de neuroimagerie capable d'évaluer le degré de symptômes de douleur, associée -plus largement- à toute une série de neuropathies, explique Marina López-Solà, chercheur en santé cognitive et auteur principal de l'étude : « Un outil d'imagerie précieux pour identifier aussi les sous-types de patients, ce qui peut permettre de mieux personnaliser les traitements ». Reconnaître la fibromyalgie pour ce qu'elle est : Si aujourd'hui, quelques spécialistes de la douleur ont établi des procédures cliniques pour le diagnostic de la fibromyalgie, la description clinique n'explique pas ce qui se passe au plan neurologique et ne reflète pas l'individualité de la souffrance des patients. De telles mesures cérébrales peuvent éclairer les cliniciens sur des anomalies cérébrales particulières qui conduisent à la souffrance d'un patient. Enfin, un tel outil, contribue aussi à faire « reconnaître la fibromyalgie pour ce qu'elle est, un trouble du système nerveux central ».
August 31, 2016 doi: 10.1097/j.pain.0000000000000707 Towards a neurophysiological signature for fibromyalgia. (Visuel@Cognitive and Affective Control Laboratory / University of Colorado Boulder)
Lire aussi:
FIBROMYALGIE: L'œil une fenêtre de diagnostic par test ophtalmologique classique –
Autres actualités sur le même thème
POLYARTHRITE RHUMATOÏDE: La neurostimulation plutôt que les médicaments ?
Actualité publiée il y a 9 années 9 moisIMAGE CORPORELLE à l'adolescence et santé mentale à l'âge adulte
Actualité publiée il y a 1 mois 3 semainesFIBROMYALGIE: Bientôt un test de diagnostic génétique?
Actualité publiée il y a 9 années 6 moisARTHROSE : Un assemblage prêt à l'emploi pour régénérer le cartilage
Actualité publiée il y a 3 années 10 mois



