Découvrez nos réseaux sociaux
Actualités

HYPERTENSION : L’enzyme clé qui pourrait réguler la pression

Actualité publiée il y a 5 années 10 mois 4 jours
Circulation
L’enzyme découverte est impliquée à la fois dans la régulation de la pression artérielle et de la croissance osseuse (Visuel Fotolia_139538849_XS)

Cette équipe du Max Delbrück Center for Molecular Medicine (Berlin) vient de découvrir une enzyme hyperactive qui provoque une hypertension héréditaire. Cette découverte documentée dans la revue Circulation, en éclairant les interactions de l’enzyme avec d'autres protéines impliquées dans la régulation de la pression artérielle, ouvre, plus largement, de nouvelles voies thérapeutiques pour l'hypertension.

 

La découverte de cette enzyme vient d’être réalisée à partir de l’étude du syndrome d'hypertension et de brachydactylie associées au sein d’une famille turque. La plupart des membres de cette grande famille avaient à la fois des doigts inhabituellement courts et une tension artérielle « terriblement » élevée, jusqu’à 2 fois plus du double de celle de personnes en bonne santé. Les personnes touchées par ce syndrome combiné rare meurent vers l'âge de 50 ans, généralement en raison d'un accident vasculaire cérébral.

Dr. Q. Fatimunnisa, Bader Lab, MDC

L’enzyme est impliquée à la fois dans la régulation de la pression artérielle et de la croissance osseuse

L’équipe dirigée par le Pr Friedrich Luft et le Dr Sylvia Bähring du Max Delbrück Center étudie cette maladie rare depuis plusieurs années. En mai 2015, l’équipe documentait dans la revue Nature Genetics un gène altéré chez tous les patients touchés par le syndrome. Un gène qui code pour l’enzyme phosphodiestérase 3A, ou PDE3A qui régule à la fois la pression artérielle et la croissance osseuse. La mutation génétique découverte chez les patients atteints rend l'enzyme PDEA3A hyperactive.

L’équipe a travaillé sur 2 modèles animaux :

  • des souris génétiquement modifiées avec PDE3A hyperactive : les animaux présentaient une pression artérielle extrêmement élevée par rapport aux animaux témoins.
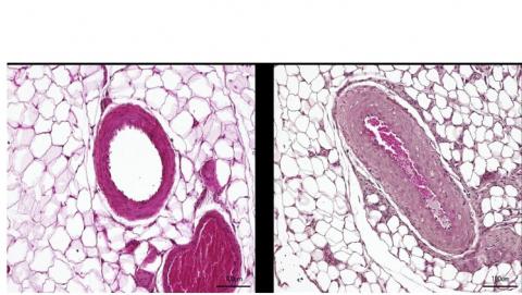
  • des rats génétiquement modifiés par la technologie d’édition du génome CRISPR-Cas9, au niveau de 9 paires de bases dans une région du gène PDE3A afin de reproduire « un point chaud de mutation » lié à la maladie. Comme chez les patients humains, ce changement augmente l'activité de l'enzyme PDE3A.  Au-delà, les scientifiques constatent, avec cette modification génétique que « les rats ressemblent à des patients humains à un degré vraiment incroyable : non seulement les animaux modèles présentent une hypertension artérielle, mais leurs orteils sont considérablement raccourcis, comme les doigts des personnes atteintes du syndrome. Ainsi, les artères rétrécies chez ce rat modèle avec PDE3A muté (à droite sur visuel) provoquent une résistance accrue à la circulation sanguine et une pression artérielle élevée ».  

Le modèle de rat fournit une preuve définitive du rôle clé du gène PDE3A muté

 

Pouvoir traiter plus efficacement l'hypertension ? L’identification de ce gène muté va permettre de mieux traiter cette forme héréditaire d'hypertension artérielle : ainsi, est déjà envisagé le médicament appelé riociguat déjà approuvé pour traiter l'hypertension pulmonaire, qui active une enzyme qui produit une molécule de signalisation qui amortit l’hyperactivité de PDE3A.

 

Mais au-delà, mieux comprendre comment PDE3A muté interagit avec d'autres protéines pouyrrait très probablement permettre d’agir plus largement sur la régulation de la pression artérielle et de développer de nouveaux médicaments contre l'hypertension.