LONGÉVITÉ: SIRT3, l'enzyme qui faiblit mais ne bouge pas
On connait déjà l’enzyme SIRT 3, cette enzyme des mitochondries qui protège nos cellules contre le stress oxydatif. SIRT3 fait partie de la fameuse famille des protéines sirtuines, avec des effets pro-longévité et anti-vieillissement cellulaire désormais bien documentés. Pour ses bénéfices inestimables, SIRT3 est donc une cible prometteuse dans la recherche de nouveaux traitements anti-âge ou anti-obésité. Cette recherche fondamentale nous « en apprend » un peu plus sur cette enzyme clé et sa régulation : l'exercice et le jeûne ne modifient pas son emplacement à l’intérieur des cellules, suggérant que contrairement à de nombreuses protéines, sa localisation ne participe pas à sa régulation.
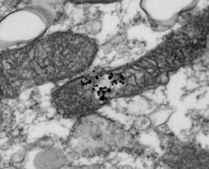
SIRT3 est une enzyme importante impliquée dans le métabolisme des graisses et la production d'énergie. Située dans les mitochondries du muscle squelettique humain, l'enzyme agit en ciblant certaines protéines et en modifiant leur activité. Mieux comprendre le rôle des enzymes situées dans les mitochondries, participe à trouver de nouvelles voies pour maintenir au mieux les fonctions cellulaires, la santé et la longévité. Ainsi, un déficit en SIRT3 a déjà été associé au risque de syndrome métabolique.
L'étude a été menée chez des jeunes hommes en bonne santé, répartis en 2 groupes : l'un a été soumis à un exercice d'endurance pendant une heure, l'autre au jeûne durant 48 heures. Les chercheurs ont ensuite prélevé des biopsies des muscles squelettiques à différents points dans le temps après l'exercice et le jeûne et isolé les mitochondries. Leur analyse constate que, bien que le niveau de SIRT3 diminue dans les cellules, sa situation dans la cellule n'est pas modifiée, ce qui suggère que son activité n'est pas régie par des modifications de niveau dans les mitochondries des cellules du muscle squelettique humain : en effet, les cellules musculaires squelettiques réagissent à des stimuli -comme l'exercice ou le jeûne- en activant de nombreuses protéines mitochondriales. La régulation de ces protéines se traduit par leur accès à certaines zones de la cellule. Les chercheurs s'attendaient donc à ce que SIRT3 se déplace vers les mitochondries en réponse à l'exercice et le jeûne, ce qui n'est pas le cas. Cependant, cette recherche montre que contrairement à d'autres protéines, SIRT3 ne semble pas régulée par des changements dans la localisation mitochondriale, en réponse au stress de l'énergie cellulaire dans le muscle squelettique humain.
L'étude participe ainsi à décrypter comment SIRT3 est régulée chez les humains. Comprendre les mécanismes de contrôle de l'activité de SIRT3 peut être crucial pour cibler l'activité de cette protéine pour lutter contre les maladies métaboliques chez l'homme.
Autres actualités sur le même thème
LONGÉVITÉ : Le 21è siècle pourrait battre un record
Actualité publiée il y a 4 années 6 moisALZHEIMER : La vitamine A pour retarder le déclin cognitif
Actualité publiée il y a 9 années 2 moisTRAUMA CÉRÉBRAL : Il accélère la démence chez les plus âgés
Actualité publiée il y a 2 mois 4 joursVIEILLISSEMENT en BONNE SANTÉ : Il gagne des points avec le temps
Actualité publiée il y a 1 année 3 semaines



