MÉTASTASE CÉRÉBRALE : L’échographie focalisée ouvre la voie jusqu'au cerveau
« Focusing on delivery », titrent ces scientifiques du Sunnybrook Health Sciences Centre (Toronto) qui mettent en pratique, les ultrasons focalisés -une technique encore peu développée- pour administrer une thérapie par anticorps à des métastases cérébrales du cancer du sein. Cette nouvelle approche innovante, documentée dans la revue Science Translational Medicine, démontre ici son potentiel à réduire la taille des tumeurs métastatiques.
Il s’agit précisément d’administrer, par ultrasons focalisés, un traitement par anticorps à travers la barrière hémato-encéphalique, et donc de surmonter cet obstacle, plus largement même pour l’administration d’autres médicaments au cerveau. L’essai clinique, unique au monde, démontre que des ultrasons focalisés guidés par résonance magnétique (RM) permettent d’administrer une thérapie par anticorps à des métastases de cancer du sein, dans le cerveau.
Ouvrir temporairement la barrière hémato-encéphalique pour la thérapie par anticorps
L’essai clinique de phase I est mené auprès de patientes atteintes d'un cancer du sein Her2-positif et la réponse à la thérapie par anticorps, par trastuzumab (ou Herceptin), ciblant précisément les tumeurs dans le cerveau via l'appareil à ultrasons focalisé (Exablate Neuro d'Insightec), est suivie par imagerie par l’équipe de Sunnybrook. Cette approche par ultrasons focalisé permet « d’ouvrir » temporairement et de manière non invasive la barrière hémato-encéphalique et de donner accès au trastuzumab administré par voie intraveineuse aux sites tumoraux cérébraux.
Les thérapies par anticorps aident le système immunitaire à combattre les cellules cancéreuses, et sont souvent utilisées en association avec la radiothérapie et la chimiothérapie. Cependant, la barrière hémato-encéphalique présente toujours un défi pour la délivrance de médicaments dans le cerveau. Constituée d’une couche de cellules tapissant les vaisseaux sanguins, sa mission est justement de protéger le cerveau des virus, des bactéries et d'autres toxines.
« Nous apportons la première confirmation visuelle de l’efficacité des ultrasons focalisés à administrer le traitement par anticorps ciblés à travers la barrière hémato-encéphalique », commente l’auteur principal, le Dr Nir Lipsman, directeur du Centre de Neuromodulation de Sunnybrook. « Ces résultats préliminaires mais très prometteurs ont
des implications bien au-delà du cancer du cerveau,
pour d'autres affections neurologiques, notamment la maladie de Parkinson et la maladie d'Alzheimer, où la barrière hémato-encéphalique pose également un défi à l'administration de médicaments ».
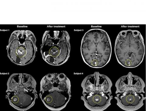
Il s’agit précisément de la publication de résultats préliminaires, chez 4 patientes de l’essai mené au total auprès de 10 participantes atteintes de cancer du sein métastatique, ou cancer du sein de stade IV, un type de cancer qui s’il prend naissance dans le sein s’est propagé au cerveau, aux os, au foie ou à d'autres organes. Les traitements actuels des métastases cérébrales du cancer du sein comprennent la neurochirurgie ouverte, la radiothérapie et la chimiothérapie. Cependant, la chirurgie et la radiothérapie sont souvent limitées par l'emplacement et le nombre de métastases cérébrales.
Ultrasons focalisés = plus d’efficacité : c’est la conclusion de cette analyse préliminaire, de l'efficacité du traitement, de l’évolution de la taille des tumeurs (soit une réduction moyenne de 21 %). Une réduction prometteuse de la taille des tumeurs mais qui doit encore être interprétée avec prudence dans l’attente de recherches supplémentaires.
C’est enfin la voie ouverte à une multitude de thérapies à la fois établies et innovantes pour de nombreuses affections cérébrales. On retiendra en effet que l’approche permet pour la première fois d’ouvrir de manière non invasive la voie aux médicaments, à travers la barrière hémato-encéphalique et jusqu’au cerveau.
Autres actualités sur le même thème
CANCER : Prendre en charge aussi la peur de la récidive
Actualité publiée il y a 3 années 10 moisTRAUMATIQUE ou TOXIQUE, le stress à l’enfance influence tous les aspects de la santé
Actualité publiée il y a 1 semaine 1 jourOBÉSITÉ : Et si l'on dormait un peu sur le stress de la journée ?
Actualité publiée il y a 8 années 9 moisCANCER de la PROSTATE : L’agent hormonal qui pourrait changer la donne
Actualité publiée il y a 3 années 2 mois



