OBÉSITÉ : Le chaperon de l’hème qui pourrait changer la donne
La découverte de cette protéine, très abondante dans le tissu adipeux, par une équipe du Scripps Research Institute (La Jolla) va très probablement changer la donne dans la lutte contre l’obésité et ses comorbidités : car sans cette protéine de signalisation « PGRMC2 », le corps ne sait plus gérer le glucose et l'insuline. De plus, cette protéine PGRMC2 se lie à une molécule essentielle l’hème -qui contient du fer- qu'elle libère. Et l’hème, on le sait, est indispensable à des processus vitaux cruciaux tels que la respiration, la prolifération et la mort cellulaires ainsi qu’aux rythmes circadiens. Cette découverte, documentée dans la revue Nature, apportent de nouvelles connaissances critiques sur l'obésité et le métabolisme. Elle pourrait également conduire à de nouvelles approches pour lutter contre l'obésité et ses comorbidités.
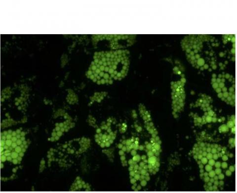
Les cellules adipeuses brunes « saines » (en vert sur le visuel ci-dessous) ont besoin de beaucoup « d’hème » pour métaboliser correctement les aliments. La protéine PGRMC2 fortement exprimée dans les tissus adipeux, n'avait pas fait l'objet d'études approfondies dans le passé. Cette étude constate qu’elle est essentielle et « guide le voyage » de la molécule hème au rôle crucial dans de nombreux processus vitaux.
Moduler l'activité de PGRMC2 pour lutter contre les effets de l'obésité
PGRMC2 est un « chaperon » de l'hème : l’équipe utilise ici des techniques biochimiques et des tests cellulaires avancés pour découvrir et montrer que PGRMC2 est un « chaperon » de l'hème, qui l’encapsule puis le transporte de la mitochondrie de la cellule, où l'hème est créé, au noyau, et qui contribue ainsi à la réalisation de ses fonctions. Sans chaperon protecteur, l'hème réagirait en « détruisant tout sur son passage ». PGRMC2 est -ici sur la souris- le premier chaperon de l'hème intracellulaire à être décrit chez les mammifères.
L'importance de l’hème dans de nombreux processus cellulaires : « si les fonctions cruciales de l’hème sont connues depuis longtemps », explique l’auteur principal, le Dr Saez, professeur de médecine moléculaire, « les protéines du transport de l'hème n'avaient pas encore été identifiées ».
Une approche innovante contre l'obésité : Les scientifiques ont cherché à savoir ce qui se passe dans le corps si cette protéine n’est pas là pour transporter l'hème. Ils constatent, chez la souris, que sans la présence de protéine PGRMC2 dans les tissus adipeux, les animaux nourris avec un régime alimentaire riche en graisses deviennent intolérants au glucose et insensibles à l'insuline. Ces souris présentent ainsi tous les symptômes du diabète et d'autres troubles métaboliques. En revanche, les souris obèses et diabétiques traitées avec un médicament qui active la fonction PGRMC2 présentent une inversion de ces symptômes associés au diabète : les souris deviennent plus tolérantes au glucose et moins résistantes à l'insuline. Moduler l'activité de PGRMC2 dans les tissus adipeux semble une approche pharmacologique prometteuse pour lutter contre les effets de l'obésité.
Mais ce n’est pas tout ! La protéine modifie aussi d’autres fonctions des graisses blanche et brune : La graisse brune, normalement la plus riche en hème, est considérée comme la « bonne graisse » car elle génère de la chaleur et brûle donc l’énergie. Les souris incapables de produire du PGRMC2 dans leurs tissus adipeux, voient ainsi leur température corporelle chuter rapidement dès qu'elles sont placées dans un environnement froid : chez les souris privées de PGRMC2, la fonction de l’hème est compromise ce qui induit un dysfonctionnement mitochondrial et la cellule n'a plus aucun moyen de brûler de l'énergie pour générer de la chaleur. La graisse s’accumule …
L'activation du chaperon de l'hème dans d'autres organes pourrait induire aussi des effets bénéfiques : dans le foie, par exemple, où est produite une grande quantité d'hème, cette activation de PGRMC2 pourrait contribuer à atténuer les effets d'autres troubles métaboliques tels que la stéatose hépatite non alcoolique (NASH), principale cause de greffe du foie.
Autres actualités sur le même thème
PERTE de POIDS : La masse musculaire ne doit pas être négligée
Actualité publiée il y a 1 année 5 moisOBÉSITÉ : Taxer ou ne pas taxer ?
Actualité publiée il y a 8 années 5 moisÂGE, OBÉSITÉ : De petits ajustements de mode de vie pour de grands bénéfices vasculaires
Actualité publiée il y a 4 années 8 moisPERTE DE POIDS : Maigrir, oui, mais pas à n’importe quel prix
Actualité publiée il y a 7 années 12 mois



