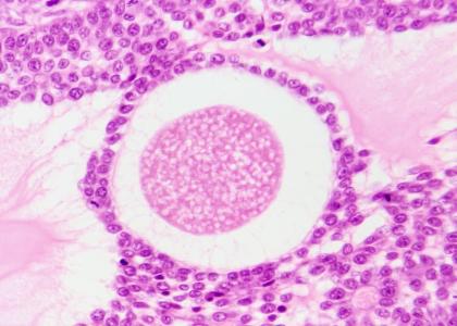
ORGANOÏDES : Des ovaroïdes pour étudier les DDS et l’infertilité
Cette équipe de l’Institut Pasteur vient de développer des « mini-ovaires » ou organoïdes d’ovaires qui vont faciliter la recherche sur l'infertilité. Ce nouveau modèle « d’ovaroïdes », développé à partir de cellules souches, qui vient d’être présenté lors du Congrès de la Société européenne d'endocrinologie pédiatrique (ESPE) et de la Société européenne d'endocrinologie (ESE), va permettre une meilleure compréhension et le développement de nouveaux traitements pour les anomalies ou différences de développement sexuel (DDS) et l'infertilité.
Pour continuer à lire cette actualité, vous devez être membre Premium.
Je souhaite devenir membre PREMIUM
Accèdez sans limite aux 15 000 actualités du site et recevez gratuitement chaque semaine, la Newsletter Santé log avec les actus Santé à ne pas manquer !
Je suis déjà
membre PREMIUM
Devenez membre PREMIUM
Accèdez sans limite aux 15 000 actualités du site
et recevez gratuitement chaque semaine,
la Newsletter Santé log avec les actus Santé à ne pas manquer !

Je suis déjà membre PREMIUM
Autres actualités sur le même thème
MALADIES OCULAIRES: Une goutte de thérapie génique dans chaque œil?
Actualité publiée il y a 9 années 8 moisFERTILITÉ: Donner vie sans fécondation
Actualité publiée il y a 9 années 7 moisThe GENOME PROJECT-WRITE ou l'idée d'une synthèse from scratch du génome humain
Actualité publiée il y a 9 années 10 moisÉVOLUTION: Trop de sexe provoque un changement des organes génitaux
Actualité publiée il y a 9 années 10 mois
ABONNEMENT PREMIUM
Accédez sans limite à plus de 15 000 actualités



