Découvrez nos réseaux sociaux
Actualités

PALUDISME : Comment le parasite synchronise son cycle avec celui de l’hôte

Actualité publiée il y a 5 années 11 mois 1 jour
Science
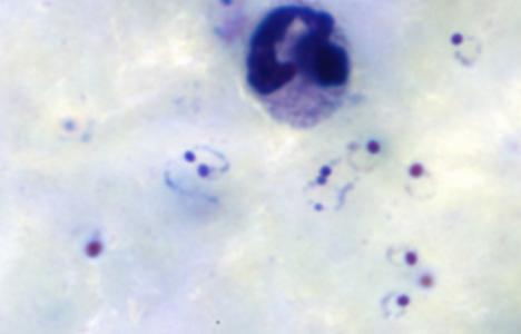
Le parasite a son propre oscillateur intrinsèque qui lui permet, « pour mieux infecter » de caler sa réplication sur le cycle circadien de son hôte (Visuel CDC)

Le paludisme est une infection qui se déroule et se développe selon des cycles répétitifs bien précis chez l’Homme. On ignorait jusqu’à cette étude si ces cycles au stade sanguin de la maladie obéissent à une horloge interne chez l’hôte humain ou intrinsèque au parasite lui-même. Cette équipe de scientifiques de la Florida vient d’identifier la source du cycle de vie rythmique du parasite et documente cette découverte dans la prestigieuse revue Science. La découverte de cet oscillateur rythmique intrinsèque au parasite, engage à rechercher ses composantes génétiques qui pourraient s'avérer des cibles prometteuses pour bloquer la réplication.

 

Avec l’épidémie actuelle COVID-19, on oublie parfois ces maladies vectorielles, comme le paludisme qui font, chaque année, tout autant de décès. Ainsi, le parasite touche chaque année 3,3 milliards de personnes dans 97 pays à risque, entraîne environ 228 millions de cas de paludisme et 405.000 décès.

L’équipe du Pr Francis Motta (Visuel ci-contre) de la Florida Atlantic University apporte aujourd’hui les preuves d’un oscillateur intrinsèque « dans le » parasite qui régule ces cycles au cours du stade sanguin de l’infection à Plasmodium.

L’évolution de la maladie chez l’Homme suit une routine presque chronométrée 

Chez l'homme, le paludisme est causé par un parasite du genre Plasmodium transmis par les moustiques femelles anophèles, qui piquent principalement entre le crépuscule et l'aube. Au début de l'infection chez l'hôte humain, le parasite migre via la circulation sanguine jusqu’au foie, se multiplie dans une cellule hépatique puis, libéré dans le sang, pénètre dans les globules rouges. C’est le stade dit « sanguin » de l’infection. Des « couvées » successives se développent à l'intérieur des globules rouges (Visuel) et les détruisent, libérant des parasites filles, les mérozoïtes, qui poursuivent le cycle en envahissant d'autres globules rouges. C’est à ce stade sanguin que se développent les symptômes de la maladie.

L’infection chez l’Homme obéit à des cycles précis : les patients infectés par l'espèce la plus mortelle, Plasmodium falciparum (ou P falciparum) présentent des cycles de fièvre, qui coïncident avec le stade sanguin de l'infection durant lequel parasite se démultiplie dans les globules rouges. Ce stade sanguin suit un cycle de développement de 48 heures qui culmine lors de la libération synchrone des parasites des globules rouges, ce qui déclenche ces cycles de fièvre de 48 heures chez l'hôte. Les infections à Plasmodium, chez l'Homme répètent ainsi ce cycle toutes les 24, 48 ou 72 heures (selon les espèces), ce qui suggère que les cycles pourraient être entraînés par un cycle circadien soit chez l’hôte, soit intrinsèque au parasite.

 

Un cycle circadien chez l’hôte ou chez le parasite ? Les scientifiques ont longtemps pensé que les parasites avaient leur propre horloge interne cependant l’origine de ce mécanisme cyclique et rythmique de l’infection à Plasmodium chez l’Homme restait un mystère jusqu’à cette étude. L’équipe du Pr Francis Motta (Visuel ci-contre) de la Florida Atlantic University apporte aujourd’hui les preuves d’un oscillateur intrinsèque « dans le » parasite qui régule ces cycles au cours du stade sanguin de l’infection à Plasmodium. Les résultats de l'étude, qui viennent d'être publiés dans Science, suggèrent que les parasites ont développé des mécanismes pour maintenir avec précision la périodicité.

 

La recherche est menée in vitro sur des cultures de P. falciparum. Grâce à des techniques de pointe (transcriptomique et microscopie de séries chronologiques à haute densité), les scientifiques ont pu comparer plusieurs caractéristiques moléculaires clés de ces cycles. Les chercheurs constatent, sur 4 souches différentes du parasite, que celui-ci possède un oscillateur circadien qui régule son cycle de vie.

 

Plasmodium n'est pas le seul parasite à avoir un cycle de vie bien rythmé. Alors que la physiologie animale (ou des hôtes) est largement contrôlée par le rythme circadien, les chercheurs écrivent « qu'il est logique que les agents pathogènes aient évolué pour tirer parti de cette périodicité de 24 heures de l'hôte, et qu’il est probable que ce comportement périodique soit retrouvé chez de nombreux pathogènes ».

Quelle implication ? Au-delà de cette meilleure compréhension de l’évolution du parasite en fonction de celle de ses hôtes, mieux cerner les mécanismes qui sous-tendent la régulation circadienne de ces interactions va permettre de développer de nouvelles stratégies pour mieux contrôler les infections parasitaires qui affectent des centaines de millions de personnes dans le monde. En identifiant les composants génétiques qui participent à cet oscillateur rythmique du parasite, les scientifiques vont trouver de nouvelles cibles pour bloquer la réplication du parasite.