PARKINSON : Un scanner ultra-puissant pour un meilleur traitement
Cette équipe de neuroscientifiques et de techniciens d’imagerie de l’Université de Cambridge documentent ici, dans la revue Movement Disorders, des scanners IRM 7T ultra-puissants qui pourraient être utilisés pour identifier les patients atteints de la maladie de Parkinson et d'autres affections neurodégénératives. Le principe, toujours un diagnostic le plus précoce possible et permettant d’identifier les patients les plus susceptibles de bénéficier de nouveaux traitements pour des symptômes auparavant incurables.
La maladie de Parkinson et la paralysie supranucléaire progressive (PSP), sont des maladies cérébrales progressives qui non seulement affectent le mouvement, mais endommagent également la motivation et la cognition. Ces derniers symptômes peuvent avoir un impact majeur sur les résultats d'un patient, affectant sa survie et son bien-être général. Pour mieux comprendre les causes de ces symptômes cognitifs, des chercheurs de Cambridge utilisent un nouveau scanner IRM "7T" à ultra-haute résistance et mesurent ainsi les changements dans le cerveau de patients atteints vs en bonne santé.
7T ou une force extrême du champ magnétique
Les patients atteints de la maladie de Parkinson et de la PSP sont souvent traités avec des médicaments tels que la L-DOPA, qui compensent la perte sévère de dopamine. Mais le traitement à la dopamine ne résout pas de nombreux symptômes non moteurs. C'est pourquoi les scientifiques ont commencé à s'intéresser à la noradrénaline, une substance chimique qui joue un rôle essentiel dans les fonctions cérébrales, notamment l'attention et l'éveil, la réflexion et la motivation.
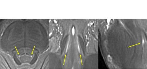
L'étude s'est concentrée sur le le locus coeruleus, producteur de noradrénaline : l’auteur principal, le Pr James Rowe du Département des neurosciences cliniques de l'Université de Cambridge commente : « La noradrénaline est très importante pour le fonctionnement du cerveau. Tout l'approvisionnement de notre cerveau provient d'une minuscule région à l'arrière du cerveau appelée le locus coeruleus (Voir visuel), une zone cérébrale très fine et dissimulée à la base même du cerveau dans le tronc cérébral". Son équipe avait déjà montré, lors d’une précédente étude, que certains patients atteints de PSP perdent jusqu'à 90 % du locus coeruleus producteur de noradrénaline.
Mais comment étudier cette zone minuscule ? Alors que la plupart des scanners IRM ont tendance à être « 3T » ou moins et ne permettent pas de visualiser avec suffisamment de précision le locus coeruleus, les scanners 7T, qui ont des champs magnétiques ultra-puissants, peuvent fournir une résolution de la taille d'un grain de sable. Ces scanners ont permis à l'équipe d'examiner le locus coeruleus et de confirmer que :
- plus le niveau de dommages dans le locus coeruleus est important, plus les symptômes d'apathie et le déclin cognitif sont sévères.
L'espoir de nouveaux traitements pour ces symptômes cognitifs : certains médicaments qui stimulent la noradrénaline ont déjà fait l'objet d'essais cliniques pour d'autres affections et sont déjà validés comme sûrs et bien tolérés. Des essais sont donc envisagés pour leur repositionnement dans le traitement de Parkinson et de la PSP.
« Tous les patients atteints de PSP ou de Parkinson ne bénéficieront pas de médicaments stimulant la noradrénaline. Ces médicaments sont plus susceptibles de profiter aux personnes dont le locus coeruleus est endommagé, et plus les dommages sont importants, plus ils sont susceptibles d'en retirer de grands avantages ».
Autres actualités sur le même thème
LONGÉVITÉ : A la recherche des génotypes de l'âge extrême
Actualité publiée il y a 8 années 11 moisANXIÉTÉ, DÉPRESSION : Les aliments ultra-transformés en question
Actualité publiée il y a 3 années 6 moisCOVID-19 : Comment l’Alzheimer l’accélère
Actualité publiée il y a 4 années 10 moisGÉNÉTIQUE : Elle prédit les risques en santé mentale des années avant
Actualité publiée il y a 3 mois 1 semaine



