PERSISTANCE du CANAL ARTÉRIEL: Le cathéter pour réparer sans chirurgie les bébés prématurés
C’est une nouvelle technique très peu invasive, permettant de réparer ce défaut congénital cardiaque commun chez les nouveau-nés prématurés, la persistance de l’ouverture du canal artériel -un canal qui permet au sang du fœtus, in utero, de contourner les poumons- Ces travaux d’une équipe du Centre médical Cedars-Sinai (New York), présentés dans le Journal de l'American College of Cardiology montrent que la procédure peut être réalisée en toute sécurité avec un taux de réussite élevé chez de « tout petits » bébés à poids de naissance inférieur à 750g.
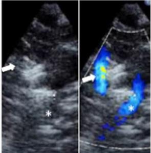
Avant la naissance, le sang d'un fœtus n'a pas besoin d'aller dans les poumons pour s'oxygéner, c'est la circulation sanguine de la mère qui apporte cet oxygène. Ce processus passe par le canal artériel, un lien entre les deux artères principales du cœur qui permet au sang du fœtus de contourner ses poumons. Après la naissance, cependant, le bébé a besoin de respirer par lui-même, de sorte que cette connexion se ferme naturellement ou devrait se fermer naturellement. Cependant, dans certains cas, le canal artériel persiste, ce qui entraîne des difficultés de respiration et d'alimentation, des hémorragies cérébrales et parfois le décès du nourrisson. L'objectif est donc alors de fermer le canal artériel persistant ou de « boucher » ce « trou dans le cœur ». Il existe un traitement médicamenteux, mais il n'est efficace que chez moins de 60% des nouveau-nés concernés et peut causer des effets secondaires tels que l'insuffisance rénale et des saignements. La chirurgie, aussi, comporte ses propres risques et des données récentes suggèrent que les résultats après chirurgie pour les bébés prématurés ne sont pas forcément positifs à long terme. Il existe donc un besoin de traitement plus efficace et moins invasif à la fois. L'équipe du Dr Zahn, expert en interventions cardiaques par cathéter, a donc mis au point une procédure « transcathéter » peu invasive pour la fermeture du canal. Guidé par des ondes ultrasonores, le médecin passe un cathéter par une veine dans la jambe, jusqu'au cœur, et ferme l'orifice. La procédure, de quelques minutes, peut être réalisée en unité de soins intensifs néonatale (USIN).
Un succès dans 70% des cas : La procédure, testée chez 24 enfants extrêmement prématurés nés à 24 à 32 semaines, s'avère un succès dans 21 des cas. 3 bébés dont l'anatomie a empêché la réussite de la fermeture ont subi plus tard une chirurgie réussie.
Le développement de procédures basées sur les cathéters pour les nourrissons apparait comme une nouvelle voie, prometteuse, dans le traitement des cardiopathies congénitales. Sa mise en œuvre en pratique clinique pourrait également ouvrir le choix des parents en regard des risques d'une chirurgie plus lourde et des effets indésirables des médicaments. Enfin, chez les patients plus âgés, diagnostiqués plus tardivement, c'est également une alternative précieuse et prometteuse.
Autres actualités sur le même thème
PRÉVENTION CARDIOVASCULAIRE : Une polypill en population générale ?
Actualité publiée il y a 1 année 2 moisMÉNOPAUSE : L’hormonothérapie non associée au risque d’AVC
Actualité publiée il y a 4 mois 1 semaineRÉADAPTATION CARDIAQUE : Le Tai Chi, pour reprendre petit à petit
Actualité publiée il y a 8 années 5 moisCHIRURGIE CARDIAQUE : Le taux d’infection post-op reste élevé
Actualité publiée il y a 1 année 2 semaines



