SANTÉ MUSCULAIRE: Pourquoi la qualité du muscle prime sur la quantité
Cette étude sur la santé et la performance musculaire, chez les athlètes montre que la pratique de sports d'endurance tels que le football et le ski de fond entraîne d'importants changements dans la qualité des « puissances cellulaires » dans les muscles des athlètes. Cette étude de l’Université du Danemark du Sud révèle ainsi, dans le Journal of Physiology, que l'entraînement d'endurance augmente le nombre de mitochondries dans nos muscles, ces mini-usines à énergie permettant plus de puissance musculaire. Bref, rien ne vaut un entraînement régulier.
Nous avons tous connu cette sensation de fatigue musculaire après avoir fait une marche rapide, un tour en vélo, une course ou une partie de foot. En cause notre « plasticité mitochondriale musculaire », cette plasticité énergétique nous permettant de nous engager dans l'activité physique pendant de longues périodes de temps.
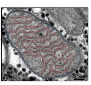
Pour cette étude, les chercheurs ont examiné 15 athlètes et les ont comparés à 29 personnes qui ne pratiquaient pas l'exercice ou étaient modérément actives. Tous les participants ont subi une biopsie musculaire, analysée sous microscope de pointe, permettant de détecter les moindres changements dans la structure musculaire.
Plus nous avons de mitochondries, plus nous pouvons nous sommes endurants à l'exercice : un lien est connu depuis plus de 40 ans, rappellent les auteurs : « il est largement admis que l'entraînement d'endurance augmente le nombre de mitochondries dans nos muscles. C'est ainsi que les sportifs d'endurance ont plus de puissance musculaire que les personnes qui ne pratiquent pas de sport ». Mais ce n'est pas tout. Cette équipe de recherche dano-suédoise découvre ici que l'endurance musculaire n'est pas seulement déterminée par le nombre de mitochondries, mais aussi par leur structure.
Des mitochondries « de course » : Les mitochondries des cellules musculaires des athlètes d'endurance sont construites de telle manière qu'elles génèrent plus d'énergie. Les mesures des chercheurs montrent ainsi que ces mitochondries peuvent générer environ 25% d'énergie en plus. Un avantage majeur dans de très nombreux sports d'endurance mais aussi au quotidien soulignent les auteurs.
Mitochondries héritées ou mitochondries entraînées ? Est-ce l'athlète qui fait les mitochondries ou le contraire ? L'avantage n'est probablement pas hérité, mais il est encore trop tôt pour dire si les mitochondries « boostées » chez les athlètes sont héritées à la naissance ou si elles sont bien le résultat d'un entraînement de long terme. Cependant l'équipe travaille sur l'hypothèse que l'entrainement, sur de plus longues périodes de temps peut induire ces types de changements dans la structure des mitochondries : « Nous avons pris des mesures détaillées de chaque fibre musculaire et avons constaté que les fibres musculaires les plus sollicitées et entrainées sont celles qui présentent les plus grands changements dans la structure mitochondriale ».
Bref, de nouvelles connaissances qui, au-delà de recommandations aux athlètes sur la façon de s'entraîner, ouvre des perspectives pour le traitement d'un certain nombre de maladies mitochondriales qui entraînent, pour certaines, une diminution de la fonction musculaire.
Autres actualités sur le même thème
POLYARTHRITE et FIBROMYALGIE: Quand le patient est prisonnier de son propre corps
Actualité publiée il y a 9 années 10 moisMAL de DOS : Marcher pour prévenir la lombalgie chronique
Actualité publiée il y a 8 mois 3 semainesARTHROSE : FoxO pour éviter son développement avec l’âge
Actualité publiée il y a 8 années 1 moisMYOPATHIE de DUCHENNE: Quel est le meilleur corticoïde pour freiner la maladie?
Actualité publiée il y a 9 années 7 mois



