Découvrez nos réseaux sociaux
Actualités

STRESS: Il réveille l'Herpèsvirus qui dort

Actualité publiée il y a 10 années 1 mois 3 semaines
PLOS Pathogens

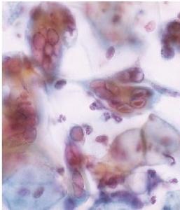
Le stress capable de réveiller un virus Herpès de sa phase de latence et de réactiver sa multiplication, c’est la démonstration de cette équipe de l’Université d'Helsinki, avec le virus de l’herpès lié au sarcome de Kaposi, un virus qui peut également entraîner certains autres cancers rares, comme le lymphome primitif des séreuses. L’équipe identifie ici le mécanisme qui favorise la réactivation des génomes viraux et déclenche la mort des cellules par lyse. Explications dans la revue PLOS Pathogens.

67% de la population mondiale de moins de 50 ans, porte le virus Herpes simplex de type 1 (HSV-1). Car l'herpès est une infection qui « s'attrape » pour la vie et seule l'analyse de sang, par détection d'anticorps anti-HSV-1 ou anti-HSV-2 permet de la diagnostiquer. Porter le virus est donc majoritairement asymptomatique, et le transmettre tout autant. C'est aussi le cas du virus « HHV-8 » ou herpès-virus lié au sarcome de Kaposi (KSHV). Le HHV-8 reste dans le corps après l'infection mais, la plupart du temps, le système immunitaire le neutralise. Enfin, c'est en cachant son génome dans le noyau des cellules infectées, que le virus établit son infection.


Les chercheurs d'Helsinki ont cherché à identifier les facteurs cellulaires impliqués dans la réactivation du virus KSHV à l'aide de technologies de microscopie avancées et de manipulation génétique. Leurs travaux montrent qu'une grande variété de composés chimiques conduisent à l'activation d'un ensemble de protéines (p53 et p21clip) dites capteurs de stress cellulaire et dont la fonction est de protéger la cellule du stress en ralentissant la prolifération cellulaire. Ce processus semble créer un environnement qui favorise la réactivation du génome viral ce qui conduire à d'énormes dégâts de l'ADN cellulaire et stopper le cycle de division dans un état connu comme « G2 ». Et, dans cet état, les ressources cellulaires sont concentrées dans l'assemblage de milliers de nouveaux virions…Les chercheurs montrent que la suppression par manipulation génétique des fameuses protéines capteurs de stress cellulaire restaure la division cellulaire dans les cellules et réduit l'expression du gène viral, ce qui suggère que la réplication de KSHVdépend de l'inhibition de la division cellulaire.

Ø En conclusion, ces travaux montrent un lien direct entre la réponse au stress cellulaire, la régulation du cycle cellulaire et la réactivation du virus.
Comprendre les événements moléculaires qui relient le stress cellulaire avec la réactivation de l'herpèsvirus pourrait permettre le développement d'une nouvelle génération d'antiviraux qui pourraient cibler directement ces nouvelles cibles prometteuses que sont ces protéines de stress ?

Autres actualités sur le même thème