SYNDROME MÉTABOLIQUE : Le sucre naturel qui réduit le risque de diabète !
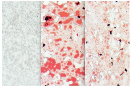
Des souris saines (foie sur visuel de gauche) nourries avec un régime riche en acides gras trans et en cholestérol pendant 12 semaines présentent naturellement des dépôts graisseux dans le foie (visuel du centre). Cependant, un sucre naturel, le tréhalose empêche le glucose de pénétrer dans le foie et active un gène, Aloxe3, qui améliore la sensibilité à l'insuline et d'autres marqueurs du syndrome métabolique. Aloxe3 permet également la réduction des dépôts de graisse dans le foie (Visuel de droite). Alors que le jeûne active également Aloxe3 dans le foie, cela pourrait expliquer pourquoi le jeûne augmente la sensibilité à l'insuline.
En substance, ce sucre naturel appelé tréhalose contribue à réduire le risque de diabète. L'activation du gène déclenche également une augmentation des calories brûlées, réduit l'accumulation de graisse et la prise de poids, et réduit les niveaux de lipides et du cholestérol dans le sang. Avec ces résultats, l’équipe de l'Université de Washington ouvre de nouvelles options de traitement du syndrome métabolique, un groupe de pathologies associées comprenant l’obésité, le diabète et la stéatose hépatique.
Aloxe3, améliore la sensibilité à l'insuline et réduit le cholestérol : chez la souris, l'administration de tréhalose dilué dans l’eau entraîne des effets bénéfiques sur le métabolisme hépatique des animaux, similaires à ceux du jeûne. Le tréhalose active le gène Aloxe3, qui améliore la sensibilité à l'insuline de la même manière que des médicaments courants contre le diabète, les thiazolidinédiones, explique l’autre principal, le Dr Brian DeBosch, professeur adjoint de pédiatrie : Aloxe3 dans le foie - qu'il soit activé par le jeûne ou le tréhalose - conduit les souris non seulement à mieux utiliser l'insuline, mais à augmenter la combustion de calories et à réduire les niveaux de graisses et de cholestérol dans le sang. Des souris nourries avec un régime trop riche ou génétiquement prédisposées à l'obésité se trouvent protégées, avec une supplémentation en tréhalose, contre les maladies métaboliques.
L'utilisation de ce sucre « prometteur », le tréhalose, à des fins médicales n’est pas pour demain : car chez l’homme, le tréhalose peut rencontrer des enzymes dans le tube digestif qui le séparent pour libérer ses deux molécules de glucose, ce qui serait contre-productif.
Dans l’attente du développement d’un composé aux effets similaires ?
Autres actualités sur le même thème
DIABÈTE : Pourquoi les cellules passent de bêta à delta
Actualité publiée il y a 6 années 9 moisDIABÈTE de TYPE 1 : Les promesses d’un inhibiteur calcique
Actualité publiée il y a 3 années 1 semaineDIABÈTE : Près d’1 patient sur 3 ne prend pas ses médicaments, pourquoi ?
Actualité publiée il y a 8 années 3 moisDIABÈTE : Les antiacides efficaces pour le contrôle glycémique
Actualité publiée il y a 4 années 9 mois



