Découvrez nos réseaux sociaux
Actualités

TUBERCULOSE : Un nouveau coupable, l'hydrogène sulfuré

Actualité publiée il y a 6 années 1 mois 6 jours
Nature Communications
La tuberculose est responsable d'environ un million et demi de décès chaque année

Les bactéries de la tuberculose (TB) induisent une production accrue de sulfure d'hydrogène qui accélère la pathogenèse de la tuberculose. En décryptant, dans la revue Nature Communications, comment l'hydrogène sulfuré aggrave la maladie, cette équipe de l’Université d'Alabama à Birmingham (UAB) suggère de toutes nouvelles cibles thérapeutiques, très prometteuses.

 

La tuberculose est responsable d'environ un million et demi de décès chaque année, et environ 2 milliards de personnes sont infectées de manière latente dans le monde.

L'hydrogène sulfuré exerce des fonctions physiologiques normales dans le corps humain en particulier dans la signalisation cellulaire. Cependant son action est moins positive dans la tuberculose : lorsque les bactéries Mycobacterium tuberculosis (Mtb) envahissent les poumons, ses niveaux semblent augmenter considérablement dans le microenvironnement pulmonaire, ce qui rend la bactérie plus virulente et plus apte à bloquer la réponse immunitaire protectrice du corps. Les scientifiques constatent ici, lorsque Mtb envahit les macrophages, une augmentation de 34 fois du niveau de l'enzyme macrophage cystathionine bêta-synthase (CBS), un producteur majeur d'hydrogène sulfuré dans les cellules.

En décryptant le processus par lequel Mtb exploite le sulfure d'hydrogène dérivé de l'hôte, pour favoriser sa croissance et le développement de la maladie, ces chercheurs suggèrent que les thérapies ciblant la production de sulfure d'hydrogène pourraient freiner la tuberculose et d'autres infections microbiennes.

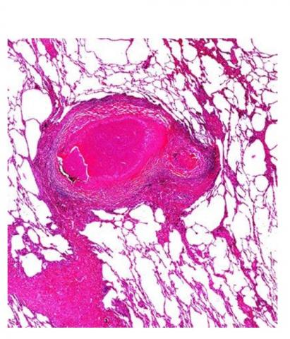
Tissu pulmonaire humain d'un patient tuberculeux avec lésion granulomateuse nécrosante centrale

C’est la première étude à décrypter ce rôle de l’hydrogène sulfuré

 

La source de ce sulfure d'hydrogène ? Les chercheurs montrent ici que ce sont les bactéries Mtb elles-mêmes qui induisent les macrophages humains à produire plus de sulfure d'hydrogène. Ainsi, Mtb exploite le métabolisme des macrophages pour augmenter sa propre virulence ! Les chercheurs montrent que l'exposition de cellules Mtb à des concentrations croissantes de sulfure d'hydrogène augmente considérablement leur taux de croissance. Pendant la maladie, Mtb peut ainsi se développer et persister en toute sécurité à l'intérieur des macrophages, qui devraient normalement protéger les poumons en tuant les bactéries.

 

Le rôle de CBS, un producteur majeur d'hydrogène sulfuré dans les cellules : des souris à gène CBS inactivé, une fois infectées par Mtb, survivent beaucoup plus longtemps que des souris normales. Ces souris ont des niveaux réduits de bacilles de Mtb dans les poumons et la rate, les poumons présentent moins de signes pathologiques ;

L'infection par Mtb de lignées cellulaires entraîne une hausse de production de CBS et d'autres enzymes de production d'hydrogène, ce qui conduit donc à une augmentation des niveaux d'hydrogène sulfuré.

 

Ainsi, l’hydrogène sulfuré et ses enzymes de production constituent des cibles thérapeutiques prometteuses pour lutter contre la tuberculose ;

 

Un médicament, actuellement utilisé pour traiter la polyarthrite rhumatoïde, la D-pénicillamine, cible l’une de ces enzymes, remarquent les auteurs.