VIANDE ROUGE et RISQUE CARDIAQUE : La faute aux allergènes ?
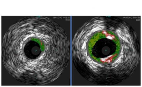
Cette équipe de l'Université de Virginie soutenue par le NIH/National Heart, Lung and Blood Institute révèle la responsabilité de l’allergène de la viande rouge dans le risque associé de maladie cardiaque : certains patients « moins sensibles » à un allergène de la viande rouge présentent une accumulation réduite de plaque dans les artères du cœur (visuel de gauche). Des données présentées dans la revue Arteriosclerosis, Thrombosis and Vascular Biology certes préliminaires mais qui ouvrent une nouvelle approche ou cible potentielle pour prévenir ou traiter les maladies cardiaques dans un sous-groupe de personnes plus sensibles.
Les chercheurs font ainsi le lien entre la sensibilité à un allergène de la viande rouge et l'accumulation de plaque dans les artères du cœur. Alors qu’il est démontré que les niveaux élevés de graisses saturées dans la viande rouge contribuent au développement de la maladie cardiaque, cette découverte suggère que chez un sous-groupe de patients, le risque cardiaque accru serait lié à un allergène alimentaire. « Ces données soulèvent la possibilité intrigante que l'allergie à la viande rouge peut être un facteur méconnu de maladie cardiaque », commente e Dr Coleen McNamara, professeur de médecine au Centre de recherche cardiovasculaire du Système de santé de l'Université de Virginie. Des résultats préliminaires qui justifient de poursuivre les études cliniques.
Car le taux de personnes souffrant d'allergies à la viande rouge n'est pas clair, ici les chercheurs estiment que cela pourrait représenter 1% de la population dans certaines régions ou certains pays. Le nombre de personnes qui développent des anticorps sanguins contre l'allergène de la viande rouge sans présenter de symptômes complets serait beaucoup plus élevé soit environ 20% de la population, estiment les chercheurs.
Alpha-Gal : Ce n'est que récemment que l'allergène principal de la viande rouge, appelé galactose-α-1,3-galactose, ou alpha-Gal, un type de sucre complexe a été identifié. Une espèce de tique pourrait également, par piqûre induire une sensibilisation à cet allergène. Enfin, on sait également que les allergènes peuvent déclencher certains changements immunologiques qui peuvent être associés à l'accumulation de plaque et au blocage artériel, mais aucune substance spécifique responsable de cet effet n’a encore été identifiée. Ici, les chercheurs montrent, pour la première fois qu'un marqueur sanguin spécifique de l'allergie à la viande rouge est bien associé à des niveaux plus élevés de plaque artérielle, ou à des dépôts graisseux sur la paroi interne des artères.
Un type d'anticorps (immunoglobuline ou IgE) spécifique de l'allergène alpha-Gal : pour identifier ce marqueur sanguin, les chercheurs ont analysé des échantillons de sang de 118 adultes puis détecté des anticorps dirigés contre l'alpha-Gal, indiquant une sensibilité à la viande rouge, dans 26% d'entre eux. En utilisant l'imagerie, ils constatent que la quantité de plaque est 30% plus élevée chez les patients sensibilisés à l’alpha-Gal que chez les patients non sensibilisés. Ces plaques, caractéristiques de l'athérosclérose (durcissement des artères), ont également tendance à être plus structurellement instables, ce qui suggère un risque accru d’événement cardiaque.
Ce lien entre allergènes de la viande rouge et maladie coronarienne encore préliminaire nécessitera d’autres études, chez l’animal et chez l’Homme, cependant ces travaux suggèrent déjà une nouvelle approche pour u sous-groupe de patients plus sensible à cet allergène.
Aujourd’hui, ces personnes sont invitées à opter pour un mode de vie sain pour le cœur, soit pour une alimentation saine, avec beaucoup de fruits et de légumes, le maintien d'un poids santé, la gestion du stress, une pratique régulière de l'activité physique et l’absence de tabagisme.
Autres actualités sur le même thème
VITAMINE D : Une carence qui épuise le muscle
Actualité publiée il y a 4 années 12 moisVITAMINE D : Primordiale contre les infections respiratoires aussi
Actualité publiée il y a 1 semaine 6 joursJEÛNE INTERMITTENT : L’alimentation restreinte dans le temps booste les performances sportives
Actualité publiée il y a 4 mois 1 semaineSPORT d’ENDURANCE : Le régime végétarien est de circonstance
Actualité publiée il y a 7 années 2 mois



