VIOLENCE CONJUGALE : Les radiologues ont un rôle clé à jouer
La radiologie offre des indices précieux, actuels et plus anciens, dans les cas de violence conjugale et d'agression sexuelle, souligne cette étude présentée à la Réunion annuelle de la Radiological Society of North America (RSNA). Cet appel aux confrères radiologues de cette équipe de l'hôpital Brigham and Women (Boston) incite aussi ces spécialistes à une attention de routine à ces signes cliniques : « La violence conjugale ou les agressions sexuelles touchent une femme sur 4, alors de nombreuses patientes que nous rencontrons peuvent avoir vécu ce type d’abus ».
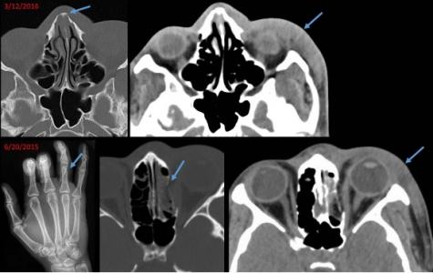
Car l’imagerie peut également apporter des indices précoces d'abus, de violence ou d’agression sexuelle. Un cas en particulier a motivé cette équipe du Brigham and Women's Hospital, une jeune femme de 21 ans présentant une fracture chronique des os du nez et un gonflement des tissus mous du visage latéral gauche ainsi que les séquelles d’une fracture guérie. En retrouvant les images médicales précédentes de cette patiente dans le système d'archivage de l'hôpital, le radiologue a retrouvé une fracture récente du poignet. Cette succession de blessures a permis aux radiologues de suspecter un cas de violence conjugale, qui avait, dans ce cas, échappé au médecin. L’équipe a ensuite poursuivi ses recherches pour tenter de caractériser les résultats cliniques et radiologiques chez les victimes de violence conjugales et/ou d’agressions sexuelles.
Des blessures caractéristiques : les chercheurs ont donc examiné les dossiers médicaux électroniques des patient(e)s orienté(e)s vers les programmes de soutien dédiés aux victimes de violence conjugale et d'agression sexuelle et pu ainsi identifier les blessures caractéristiques chez les patients. Sur le plan radiologique, les auteurs définissent ainsi « des modèles communs de blessures » dont des lésions des tissus mous, les fractures des membres fréquemment localisées aux extrémités supérieures distales et suggérant des blessures liées à des tentatives défensives. Les fractures faciales, qui représentent une zone cible de traumatismes sont également fréquemment observées. Bref, toutes ces blessures caractéristiques doivent alerter les radiologues de l’éventualité de violences commises par le partenaire intime. Précisément,
- 95% des 87 victimes de violence conjugale de l’étude étaient des femmes,
- à 40% afro-américaines,
- âge moyen de 34,7 ans.
- 665 examens de radiologie ont été effectués sur ce groupe de victimes et sur 5 ans : l’examen le plus pratiqué est la radiographie pulmonaire, puis l'échographie obstétricale et enfin la radiographie musculosquelettique.
- Les 35 victimes d'agression sexuelle étaient plus jeunes (âge moyen de 27,3 ans), des femmes à 91%. 109 examens de radiologie ont été effectués sur ce groupe de victimes en 5 ans : l'examen le plus pratiqué était la radiographie thoracique, suivie de la tomodensitométrie de la tête, de l'échographie pelvienne et de la radiographie musculosquelettique.
- Ces victimes présentent moins de blessures traumatiques que les victimes de violence conjugale.
- Enfin, les victimes de violence conjugale étaient plus susceptibles d'être sans abri, tandis que les victimes d'agression sexuelle étaient plus susceptibles d’usage de substances illicites.
Des situations sociales complexes ressortent de la très grande majorité de ces cas et ce constat appelle bien entendu au développement d'interventions ciblées non seulement pour détecter le risque de violence mais aussi pour apporter un soutien dans les différents aspects de la vie et de la santé de ces patients.
Les radiologues ont donc un rôle clé de vigilance et diagnostic à jouer car ils sont parfois les premiers à identifier les blessures anciennes ou actuelles des victimes. Car, soulignent les auteurs, les radiologues savent bien distinguer les fractures anciennes et cicatrisées des fractures aiguës plus récentes.
Autres actualités sur le même thème
COVID-19 : Une biopsie cutanée pour évaluer ses dommages plus profonds
Actualité publiée il y a 3 années 9 moisDIABÈTE : Il se voit aussi sur l’épaule
Actualité publiée il y a 7 années 3 moisCRISE CARDIAQUE : L’intelligence artificielle peut la prévoir 5 ans avant
Actualité publiée il y a 6 années 6 moisMALADIE CARDIAQUE : Un bain de bouche pour la détecter
Actualité publiée il y a 2 années 6 mois



