VITAMINE A : Une clé de la santé synaptique
Cette étude expérimentale montre sur des tissus cérébraux humains l’action bénéfique d’un dérivé de la vitamine A, l’acide rétionique, sur la santé synaptique et la connectivité du cerveau. En décryptant l’action de ce composé sur la plasticité cérébrale, ces travaux, publiés dans la revue eLife, contribuent à expliquer le bénéfice cognitif de la vitamine A, déjà documenté par de précédentes études.
Le cerveau évolue en permanence, et, au-delà de son développement à l’enfance et à l’adolescence, la réorganisation permanente de ses connexions permet l‘adaptation, l’apprentissage et la mémoire. Ce processus de remodelage qui apporte cette « plasticité cérébrale » passe également par les points de contact entre les cellules nerveuses que sont les synapses. L’équipe du Dr. Andreas Vlachos de l'Institut d'anatomie et de biologie cellulaire de l'Université de Fribourg et du Pr Jürgen Beck, chef du département de neurochirurgie de l’Université de Fribourg apporte, pour la première fois, des preuves expérimentales de la plasticité synaptique chez l'homme.
Les multiples bénéfices de la vitamine A, des os jusqu'au cerveau
La vitamine A contribue à stimuler le système immunitaire. On en trouve principalement dans les aliments de sources animales, dont les produits laitiers, les œufs, la viande et le poisson gras, mais également dans certains fruits et légumes à feuilles. Les aliments d'origine animale contiennent de la vitamine A sous forme de rétinol et d'esters de rétinol alors que les légumes contiennent essentiellement des précurseurs du rétinol ou bêta-carotène. Les besoins quotidiens en vitamine A pour un adulte sont estimés de 0,7 à 1 mg environ. La vitamine A est impliquée dans la santé osseuse, oculaire, pulmonaire et ses bénéfices anticancéreux ont été documentés. Enfin, la vitamine A a également déjà été associée à la santé cognitive.
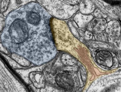
Vitamine A et santé synaptique : à l’aide de différentes expériences, l'équipe a regardé si les épines dendritiques -qui prolongent les dentrites des neurones- changent lorsqu'elles sont exposées à un dérivé de la vitamine A appelé acide rétionique. Les épines dendritiques sont les parties de la synapse qui reçoivent, traitent et transmettent des signaux lors de la communication entre les neurones. Leur rôle est donc crucial dans la plasticité cérébrale et dans l’adaptation au quotidien. La recherche montre que l'acide rétinoïque augmente non seulement la taille des épines dendritiques, mais renforce également leur capacité à transmettre des signaux entre les neurones humains : la plasticité synaptique est ici suivie sur de minuscules échantillons de cortex cérébral humain, issus de procédures thérapeutiques neurochirurgicales. Le tissu cérébral prélevé est ensuite traité avec de l'acide rétinoïque avant que les propriétés fonctionnelles et structurelles des neurones ne soient analysées à l'aide de techniques électrophysiologiques et microscopiques.
Les acides rétinoïques sont des messagers clés pour la plasticité synaptique dans le cerveau humain. C’est un nouveau mécanisme majeur de la plasticité synaptique dans le cerveau humain qui vient d’être découvert, avec l’opportunité de pouvoir développer de nouvelles stratégies thérapeutiques qui soutiennent la plasticité cérébrale et permettent de lutter contre certaines maladies mentales.
Les chercheurs citent notamment la dépression dont l'une des caractéristiques est justement ...un appauvrissement des synapses.
Autres actualités sur le même thème
SCLÉROSE en PLAQUES : Un régime riche en légumes pour réduire la fatigue
Actualité publiée il y a 6 années 6 moisALZHEIMER : Des cellules sanguines capables de repousser la maladie
Actualité publiée il y a 7 mois 3 semainesYOGA : Une thérapie alternative prometteuse contre l’Alzheimer
Actualité publiée il y a 2 années 7 moisGROSSESSE : Les cytokines maternelles préparent la santé émotionnelle du bébé
Actualité publiée il y a 1 année 10 mois



