FOIE GRAS: Vigiline, la protéine vigile des graisses dans le sang
En identifiant cette « petite » protéine au nom de Vigiline, qui régule au niveau des cellules hépatiques la libération des graisses, du foie à la circulation sanguine, cette équipe du Swiss Federal Institute of Technology (Zurich), découvre une cible très prometteuse. Une cible précieuse, documentée dans la revue Nature Communications pour développer de nouveaux médicaments non seulement contre la stéatose hépatique mais contre l’hypercholestérolémie et le risque cardiovasculaire.
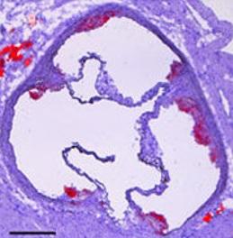
De la consommation de graisses et d'alcool à l'événement cardiovasculaire : une consommation excessive d'aliments gras et d'alcool vont inciter le foie à travailler également de manière excessive. Le foie va stocker une partie de la graisse consommée mais en libérer à nouveau une fois le repas achevé. Mais en cas d'excès alimentaire et d'alcool chronique, non compensé par la pratique de l'exercice, le sujet développe un surpoids et un diabète, puis la maladie du foie gras ou stéatose hépatique. En cas de changement de mode de vie, le foie pourra récupérer mais dans le cas contraire c'est l'inflammation du foie qui menace. Le foie libère alors trop de graisse dans le sang, dont les lipoprotéines de basse densité (LDL) et de très basse densité (VLDL). Ces graisses vont favoriser la formation de plaques d'athérosclérose (Visuel ci-contre), qui en cas de blocage vasculaire, se traduit par la crise cardiaque ou l'AVC.
Les chercheurs de l'ETH Zurich en collaboration avec d'autres scientifiques de Suisse, d'Allemagne et des États-Unis font cette découverte surprenante en étudiant le processus qui mène du « foie gras » à l'événement cardiovasculaire : une protéine dans les cellules hépatiques appelées vigiline, qui agit comme une sorte d'écluse et régule la libération des graisses, dont les LDL et VLDL, du foie vers la circulation sanguine. Leur recherche constate :
· la présence de vigiline en grande concentration dans les cellules du foie de souris obèses puis chez les humains atteints d'obésité.
· Le niveau de vigiline dans les cellules du foie des personnes atteintes de la maladie du foie gras s'avère en forte corrélation avec le taux de graisse dans le foie.
· Plus les cellules du foie sont riches en graisses, plus les niveaux de vigiline sont élevés.
Au final, les chercheurs montrent que vigiline assume 2 fonctions :
- Sa première fonction consiste à réguler les protéines qui transportent la graisse vers le foie.
- Indirectement, vigiline accélère la production d'une protéine, l'apolipoprotéine B (ApoB), responsable de la libération de triglycérides du foie. Des triglycérides qui vont favoriser la calcification vasculaire. Ainsi, l'augmentation de la formation de vigiline dans le foie de souris conduit à des dépôts importants dans les vaisseaux.
Vigiline est ainsi la première protéine identifiée impliquée dans le foie gras, le diabète et la maladie cardiovasculaire. Ainsi, si vigiline est loin d'être une cible thérapeutique simple, elle reste prometteuse pour de multiples pathologies.
Autres actualités sur le même thème
PARADOXE de l’OBÉSITÉ : Un IMC élevé à l'enfance protège contre le cancer du sein
Actualité publiée il y a 4 années 11 moisJEÛNE INTERMITTENT, régime anti-inflammatoire ?
Actualité publiée il y a 4 années 3 moisOBÉSITÉ : La prise de poids est dans la tête et dans les gènes
Actualité publiée il y a 7 années 6 moisOBÉSITÉ : La chirurgie bariatrique réduit de moitié la tolérance à l’alcool
Actualité publiée il y a 8 années 4 mois



